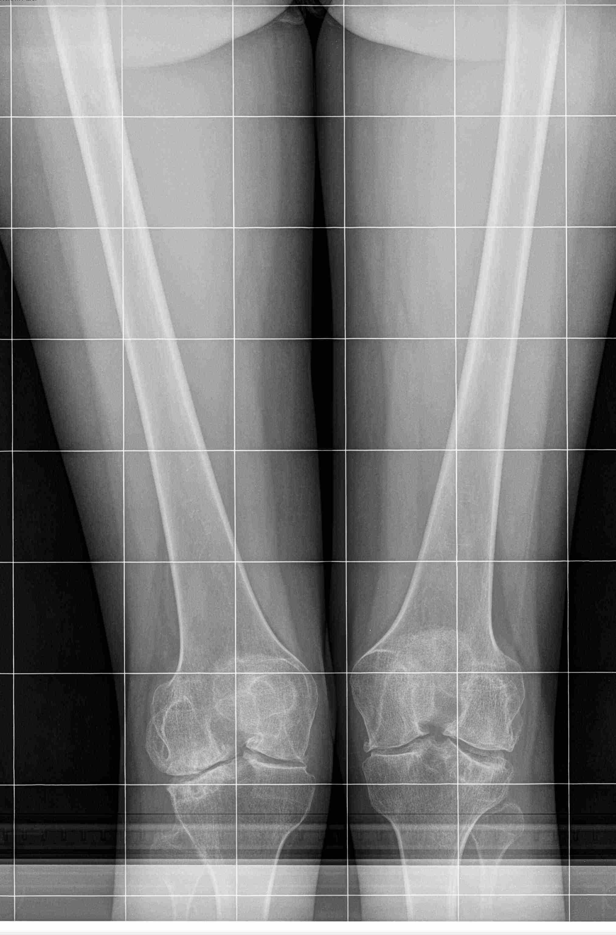
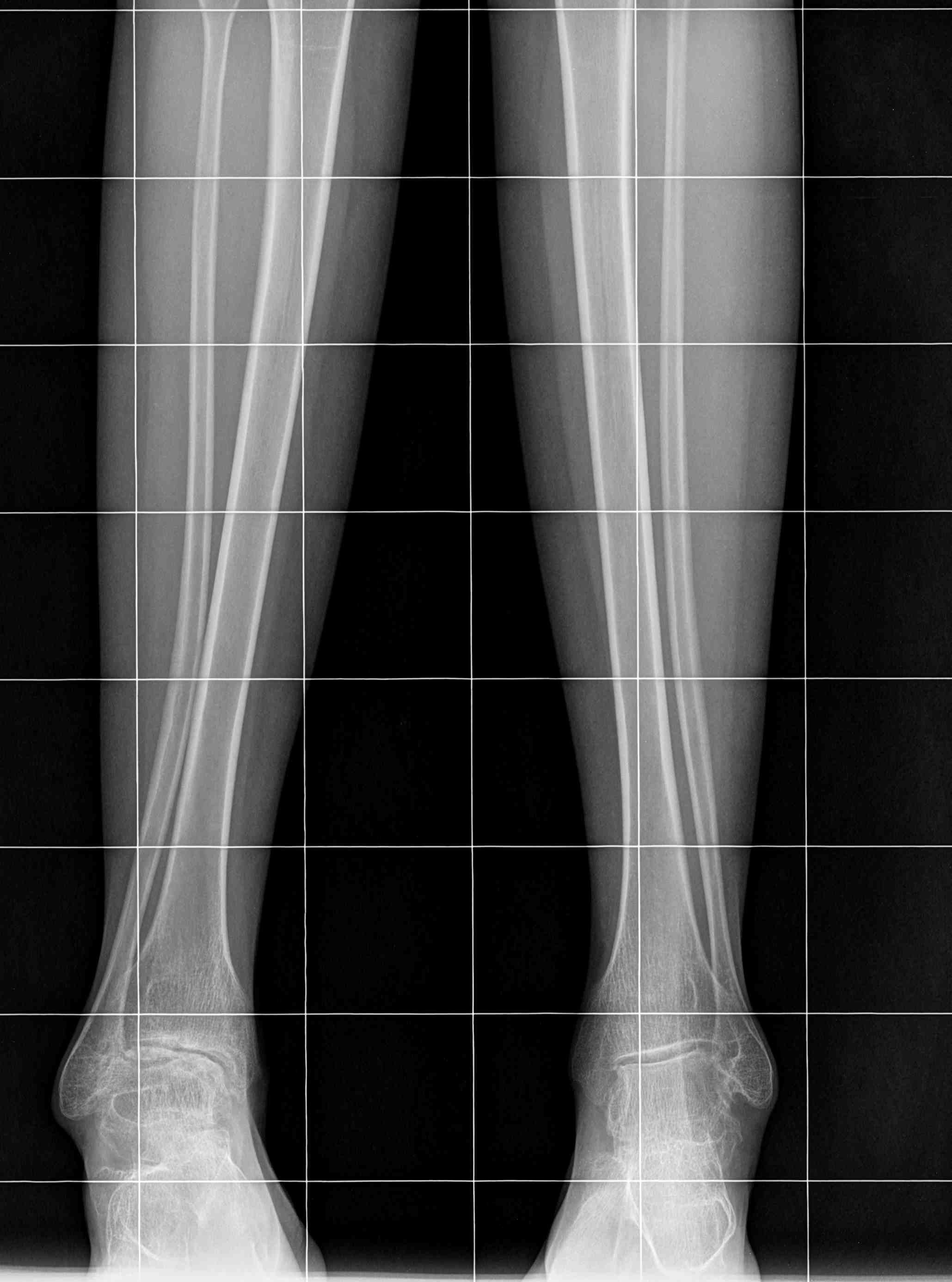
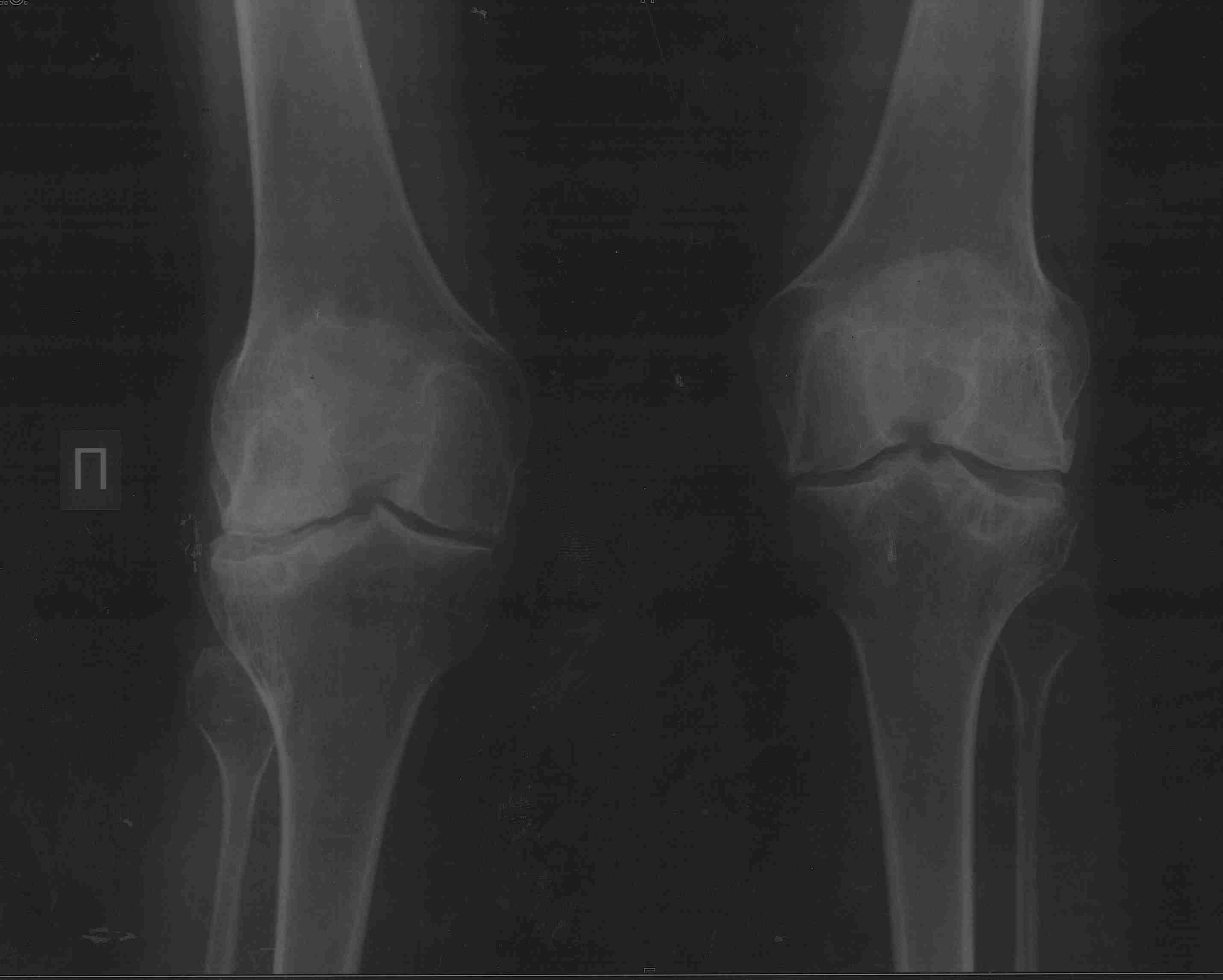
[Ortho] вальгусная деформация колена на фоне РА

Maxim Agalakov orthoforum на weborto.net
Вт Сен 20 22:49:21 YEKST 2016


девушка 29 лет с ревматоидным артритом, социальная, лечение получает.	
				
вальгусную деформацию на уровне коленных суставов замечает около 10 лет, 
прогрессирует. Движения в правом коленном суставе:разгибание полное, 
сгибание около 95-100 град. Боли особой нет. Консультировалась в 
нескольких НИИ, рекомендовали эндопротезирование.У меня есть желание 
(вполне, возможно, что и глупое) за сустав "побороться", учитывая 
возраст, да и первичное протезирование будет не слишком простым. Может 
исправить деформацию, а там куда кривая судьбы заведет? больше беспокоит 
боль в голеностопе. В связи с этим есть несколько вопросов:
1. имеет смысл с этим заморачиваться?
2. если да, то в каком объеме?
3. может имеет смысл сделать коррекцию ниже метафиза с одномоментной 
фиксацией "приличным"гвоздем? Схема прилагается
4. насколько стоит опасаться тракционной нейропатии, стоит сделать 
острое укорочение или тянуть аппаратом?
5 . еще ряд вопросов, которые я не учел
PS книгa Dror Paley пока утеряна вместе с жестким диском, потому не 
судите строго за дилетанство и приветствуются ваши схемы.
Всем большое спасибо за понимание.

Maxim Agalakov


----------- следущая часть -----------
Вложение не в текстовом формате было извлечено…
Имя     : 1.jpg
Тип     : image/jpeg
Размер  : 47727 байтов
Описание: отсутствует
Url     : http://weborto.net:8080/pipermail/ortho/attachments/20160920/04b75196/attachment-0005.jpg 
----------- следущая часть -----------
Вложение не в текстовом формате было извлечено…
Имя     : план.jpg
Тип     : image/jpeg
Размер  : 86633 байтов
Описание: отсутствует
Url     : http://weborto.net:8080/pipermail/ortho/attachments/20160920/04b75196/attachment-0006.jpg 
----------- следущая часть -----------
Вложение не в текстовом формате было извлечено…
Имя     : GORODENSKAYA E-S-- 14-08-1987- CR from 17-02-2016 2 S1	I0.jpg
Тип     : image/jpeg
Размер  : 138456 байтов
Описание: отсутствует
Url     : http://weborto.net:8080/pipermail/ortho/attachments/20160920/04b75196/attachment-0007.jpg 
----------- следущая часть -----------
Вложение не в текстовом формате было извлечено…
Имя     : GORODENSKAYA E-S-- 14-08-1987- CR from 17-02-2016 3 S2 I0	(2).jpg
Тип     : image/jpeg
Размер  : 144156 байтов
Описание: отсутствует
Url     : http://weborto.net:8080/pipermail/ortho/attachments/20160920/04b75196/attachment-0008.jpg 
----------- следущая часть -----------
Вложение не в текстовом формате было извлечено…
Имя     : GORODENSKAYA E-S-- 14-08-1987- CR from 17-02-2016 4 S3 I0	(1).jpg
Тип     : image/jpeg
Размер  : 81231 байтов
Описание: отсутствует
Url     : http://weborto.net:8080/pipermail/ortho/attachments/20160920/04b75196/attachment-0009.jpg 


Подробная информация о списке рассылки Ortho