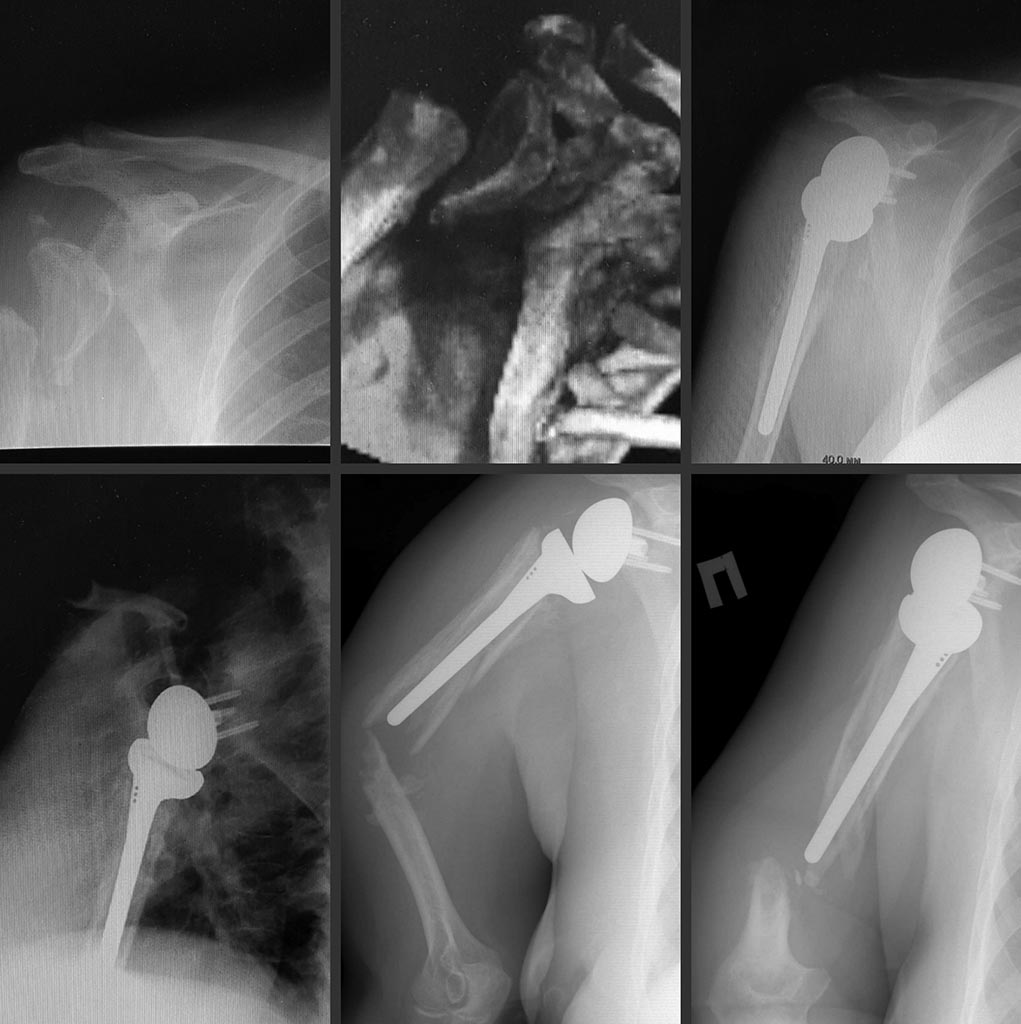
[Ortho] Перипротезный перелом правого плеча

Юрий orthoforum на weborto.net
Чт Сен 22 11:12:23 YEKST 2016


Доброго времени суток, помогите, определиться с дальнейшей тактикой.	

Пациентка 64 года. Оперативное лечение в октябре 2015 года конструкцией 
Delta XTEND. В декабре 2015 года падение на правый бок, появление 
патологической подвижности в с/3 плеча отмечает с февраля 2016 года, за 
медицинской помощью обратилась только в августе.

Из соматических заболеваний артериальная гипертензия 2 ст., 
компенсированная до нормотензии, сахарный диабет 2 типа, уровень 
гликированного гемоглобина 7, из вредных привычек курение 1 пачка в 
день, употребление алкоголя отрицает ( что сомнительно).

Отмечается патологическая подвижность в с/3 плеча. Отведение/сгибание в 
плечевом суставе 90 гр. Выпадения чувствительности в конечности нет.

Что делать? Есть предложения:
1) накостный остеосинтез с фиксацией дистально винтами, проксимально 
монокорткально с добавлением серкляжей , иммобилизация 10-12 недель;
2) удаление конструкции, ИМО также с добавлением серкляжей проксимально 
и с формированием на конце штифта сферичного спейсера по типу головки, 
при условии консолидации реэндопротезировние.
С уважением Юрий.


----------- следущая часть -----------
Вложение не в текстовом формате было извлечено…
Имя     : ОПЧЩК ЛПММБЦ.jpg
Тип     : image/jpeg
Размер  : 111685 байтов
Описание: отсутствует
Url     : http://weborto.net:8080/pipermail/ortho/attachments/20160922/c907e1b7/attachment-0001.jpg 


Подробная информация о списке рассылки Ortho