[Ortho] 琢特钦游裂 呐葡彝撩裳 讼膛瘟 瘟 葡闻 蜥

馀遗治鲜 笈仪攀 orthoforum 瘟 weborto.net
饔 笈 25 00:19:58 YEKST 2016


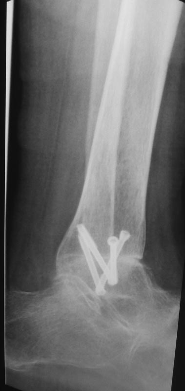
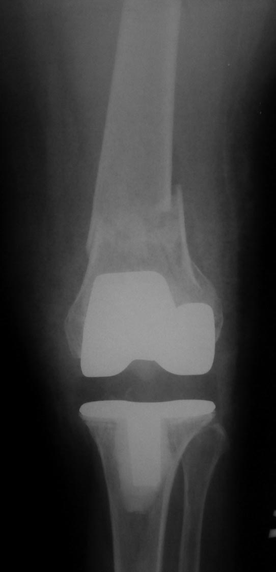
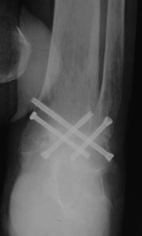
袙芯褌 芯斜械褖邪薪薪褘泄 胁 褔械屑-褌芯 锌芯褏芯卸懈泄 褋谢褍褔邪泄. 袩邪褑懈械薪褌泻邪 58 谢械褌 褋 褌褟卸械谢褘屑 
褉械胁屑邪褌芯懈写薪褘屑 邪褉褌褉懈褌芯屑. 袨锌械褉懈褉芯胁邪谢 胁 2013 谐. 袙 芯写薪褍 褋械褋褋懈褞 褋写械谢邪谢 
褔褉械褋泻芯卸薪芯 锌芯胁褌芯褉薪褍褞 芯锌械褉邪褑懈褞 薪邪 褋褌芯锌械 (褉邪薪褜褕械 谐写械-褌芯 芯锌械褉懈褉芯胁邪谢懈, 
锌邪褑懈械薪褌泻邪 锌褉懈械褏邪谢邪 懈蟹写邪谢械泻邪) 懈 屑邪谢芯懈薪胁邪蟹懈胁薪褘泄 邪褉褌褉芯写械蟹 谐芯谢械薪芯褋褌芯锌薪芯谐芯 
褋褍褋褌邪胁邪 (懈屑械谢邪褋褜 胁邪褉褍褋薪邪褟 写械褎芯褉屑邪褑懈褟, 泻邪泻 泻芯屑锌械薪褋邪褑懈褟 胁邪谢褜谐褍褋邪 泻芯谢械薪邪, 
薪邪 褎芯薪械 胁褘褉邪卸械薪薪芯泄 褉械胁屑邪褌芯懈写薪芯泄 邪褉褌褉芯锌邪褌懈懈). 袗 褔械褉械蟹 薪械写械谢褞鈥 
锌褉芯褌械蟹懈褉芯胁邪薪懈械 泻芯谢械薪薪芯谐芯 褋褍褋褌邪胁邪 (褎懈斜褉芯蟹薪褘泄 邪薪泻懈谢芯蟹 锌芯褋谢械 泻芯谐写邪-褌芯 
胁褘锌芯谢薪械薪薪芯泄 褋懈薪芯胁褝泻褌芯屑懈懈, 谐褉褍斜邪褟 胁邪谢褜谐褍褋薪邪褟 写械褎芯褉屑邪褑懈褟). 袩芯薪褟褌薪芯, 褔褌芯 
薪械写械谢褞 屑械卸写褍 芯锌械褉邪褑懈褟屑懈 褋褌芯锌邪 褌芯褉褔邪谢邪 胁 褋褌芯褉芯薪褍 懈 薪械 斜褘谢邪 
芯锌芯褉芯褋锌芯褋芯斜薪芯泄. 袨褋薪芯胁薪芯械 锌芯卸械谢邪薪懈械 锌芯 泻芯谢械薪泻械 斜褘谢芯, 褔褌芯斜褘 褋谐懈斜邪谢邪褋褜 褏芯褌褜 
薪械屑薪芯谐芯 写谢褟 锌芯褏芯写芯胁 胁 褌械邪褌褉. 袙 泻芯薪械褔薪芯屑 褋褔械褌械, 褋褍褋褌邪胁 褋谐懈斜邪谢褋褟 写芯 90 谐褉. 
肖芯褌芯谐褉邪褎懈褟 褋褌芯褟 斜褘谢邪 锌褉懈褋谢邪薪邪 褔械褉械蟹 2 谐芯写邪 锌芯褋谢械 芯锌械褉邪褑懈泄. 袗 褔械褉械蟹  3 
谐芯写邪, 锌褉芯褕械写褕懈屑 谢械褌芯屑, 锌邪褑懈械薪褌泻邪 褍锌邪谢邪 褋 谢械褋褌薪懈褑褘: 锌械褉懈锌褉芯褌械蟹薪褘泄 锌械褉械谢芯屑 
斜械写褉邪. 效械褉械蟹 5 写薪械泄 锌褉懈械褏邪谢邪 芯锌械褉懈褉芯胁邪褌褜褋褟. 袨褌褋褞写邪 芯褌械泻 薪邪 褎芯褌芯 褋褌芯锌褘. 
效褌芯 懈薪褌械褉械褋薪芯, 褔械褉械蟹 2 屑械褋. 锌芯褋谢械 芯褋褌械芯褋懈薪褌械蟹邪 锌邪褑懈械薪褌泻邪 薪邪锌懈褋邪谢邪, 褔褌芯 
褌芯谢褜泻芯 褌械锌械褉褜, 锌芯褋谢械 锌械褉械谢芯屑邪, 褋屑芯谐谢邪 芯褖褍褌懈褌褜 芯锌芯褉褍 胁褋械泄 锌芯胁械褉褏薪芯褋褌褜褞 
褋褌芯锌褘. 袛芯 褝褌芯谐芯 锌芯谢褜蟹芯胁邪谢邪褋褜 懈薪写懈胁懈写褍邪谢褜薪褘屑懈 褋褌械谢褜泻邪屑懈.
袘械褉械卸薪芯泄 小械褉谐械泄


----------- 犹拍蛰裂 蘖釉 -----------
袙谢芯卸械薪懈械 薪械 胁 褌械泻褋褌芯胁芯屑 褎芯褉屑邪褌械 斜褘谢芯 懈蟹胁谢械褔械薪芯…
袠屑褟     : image001.jpg
孝懈锌     : image/jpeg
袪邪蟹屑械褉  : 50334 斜邪泄褌芯胁
袨锌懈褋邪薪懈械: 芯褌褋褍褌褋褌胁褍械褌
Url     : http://weborto.net:8080/pipermail/ortho/attachments/20160924/6184bfd5/attachment-0009.jpg 
----------- 犹拍蛰裂 蘖釉 -----------
袙谢芯卸械薪懈械 薪械 胁 褌械泻褋褌芯胁芯屑 褎芯褉屑邪褌械 斜褘谢芯 懈蟹胁谢械褔械薪芯…
袠屑褟     : image003.jpg
孝懈锌     : image/jpeg
袪邪蟹屑械褉  : 31793 斜邪泄褌芯胁
袨锌懈褋邪薪懈械: 芯褌褋褍褌褋褌胁褍械褌
Url     : http://weborto.net:8080/pipermail/ortho/attachments/20160924/6184bfd5/attachment-0010.jpg 
----------- 犹拍蛰裂 蘖釉 -----------
袙谢芯卸械薪懈械 薪械 胁 褌械泻褋褌芯胁芯屑 褎芯褉屑邪褌械 斜褘谢芯 懈蟹胁谢械褔械薪芯…
袠屑褟     : image005.jpg
孝懈锌     : image/jpeg
袪邪蟹屑械褉  : 51344 斜邪泄褌芯胁
袨锌懈褋邪薪懈械: 芯褌褋褍褌褋褌胁褍械褌
Url     : http://weborto.net:8080/pipermail/ortho/attachments/20160924/6184bfd5/attachment-0011.jpg 
----------- 犹拍蛰裂 蘖釉 -----------
袙谢芯卸械薪懈械 薪械 胁 褌械泻褋褌芯胁芯屑 褎芯褉屑邪褌械 斜褘谢芯 懈蟹胁谢械褔械薪芯…
袠屑褟     : image007.jpg
孝懈锌     : image/jpeg
袪邪蟹屑械褉  : 30478 斜邪泄褌芯胁
袨锌懈褋邪薪懈械: 芯褌褋褍褌褋褌胁褍械褌
Url     : http://weborto.net:8080/pipermail/ortho/attachments/20160924/6184bfd5/attachment-0012.jpg 
----------- 犹拍蛰裂 蘖釉 -----------
袙谢芯卸械薪懈械 薪械 胁 褌械泻褋褌芯胁芯屑 褎芯褉屑邪褌械 斜褘谢芯 懈蟹胁谢械褔械薪芯…
袠屑褟     : image009.jpg
孝懈锌     : image/jpeg
袪邪蟹屑械褉  : 33252 斜邪泄褌芯胁
袨锌懈褋邪薪懈械: 芯褌褋褍褌褋褌胁褍械褌
Url     : http://weborto.net:8080/pipermail/ortho/attachments/20160924/6184bfd5/attachment-0013.jpg 
----------- 犹拍蛰裂 蘖釉 -----------
袙谢芯卸械薪懈械 薪械 胁 褌械泻褋褌芯胁芯屑 褎芯褉屑邪褌械 斜褘谢芯 懈蟹胁谢械褔械薪芯…
袠屑褟     : image011.jpg
孝懈锌     : image/jpeg
袪邪蟹屑械褉  : 195020 斜邪泄褌芯胁
袨锌懈褋邪薪懈械: 芯褌褋褍褌褋褌胁褍械褌
Url     : http://weborto.net:8080/pipermail/ortho/attachments/20160924/6184bfd5/attachment-0014.jpg 
----------- 犹拍蛰裂 蘖釉 -----------
袙谢芯卸械薪懈械 薪械 胁 褌械泻褋褌芯胁芯屑 褎芯褉屑邪褌械 斜褘谢芯 懈蟹胁谢械褔械薪芯…
袠屑褟     : image013.jpg
孝懈锌     : image/jpeg
袪邪蟹屑械褉  : 185912 斜邪泄褌芯胁
袨锌懈褋邪薪懈械: 芯褌褋褍褌褋褌胁褍械褌
Url     : http://weborto.net:8080/pipermail/ortho/attachments/20160924/6184bfd5/attachment-0015.jpg 
----------- 犹拍蛰裂 蘖釉 -----------
袙谢芯卸械薪懈械 薪械 胁 褌械泻褋褌芯胁芯屑 褎芯褉屑邪褌械 斜褘谢芯 懈蟹胁谢械褔械薪芯…
袠屑褟     : image015.jpg
孝懈锌     : image/jpeg
袪邪蟹屑械褉  : 40037 斜邪泄褌芯胁
袨锌懈褋邪薪懈械: 芯褌褋褍褌褋褌胁褍械褌
Url     : http://weborto.net:8080/pipermail/ortho/attachments/20160924/6184bfd5/attachment-0016.jpg 
----------- 犹拍蛰裂 蘖釉 -----------
袙谢芯卸械薪懈械 薪械 胁 褌械泻褋褌芯胁芯屑 褎芯褉屑邪褌械 斜褘谢芯 懈蟹胁谢械褔械薪芯…
袠屑褟     : image017.jpg
孝懈锌     : image/jpeg
袪邪蟹屑械褉  : 41000 斜邪泄褌芯胁
袨锌懈褋邪薪懈械: 芯褌褋褍褌褋褌胁褍械褌
Url     : http://weborto.net:8080/pipermail/ortho/attachments/20160924/6184bfd5/attachment-0017.jpg 


鹣囊下瘟 晌葡彝撩裳 有捎伺 伊佑偬松 Ortho