[Ortho]

orthoforum weborto.net
27 19:14:15 YEKST 2017


Здравствуйте, глубокоуважаемые коллеги.

Хотим посоветоваться с Вами по тактике лечения девочки 13 лет.
К нам обратилась девочка с жалобами на боли в правом коленном суставе и 
стопе. Со слов боли в течение последних 6 месяцев, усиливаются после 
длительной ходьбы. В покое не беспокоят либо быстро купируются приемом 
НПВП. Ночных болей нет. По месту жительства выполнялись Р граммы 
коленных суставов и УЗИ. Какой либо существенной проблемы не обнаружено.
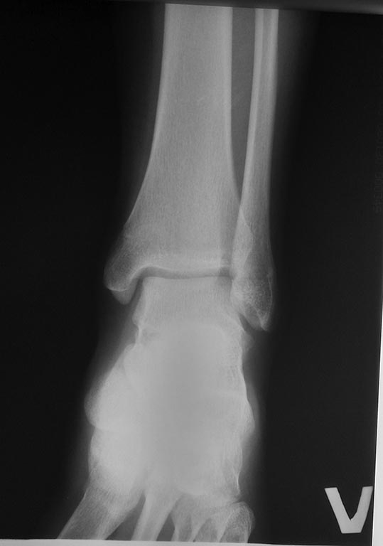
При осмотре походка не нарушена. Обращает на себя внимание, справа 
несколько больше контурируется головка правой малоберцовой кости. При 
пальпации болезненность в проекции, головки малоберцовой кости и 
малоберцового нерва. Боли в стопе в области пятки и тыла стопы. Пареза 
малоберцового нерва нет, парастезии, расстройств чувствительности нет. 
Невролог еще не смотрел. Других видимых и пальпируемых изменений не 
обнаружено. Единственное, что можно добавить, несколько увеличена 
латеральная лодыжка в сравнении с контралатеральной.
Движения в коленном и голеностопном суставе в полном объеме.

При измерении длины конечностей имеется укорочение правой голени до 1,5 
см. При том сама пациентка этого не замечала. Каких либо беспокойств это 
укорочение доставляет.При «выпытывании» выяснили, что несколько лет 
назад был перелом голени в н/3, лечилась оперативно. Закрытая репозиция, 
остеосинтез спицами остеоэпифизиолиза большеберцовой кости в н/3 со 
смещением. Нашла выписку. В дальнейшем, каких либо жалоб нет. Пациентка 
была на амбулаторном приеме, успел сделать фото имеющихся снимков 
телефоном. Рентгенограммы какие есть. Извините.
Нами было предложено дообследование и оперативное лечение. В настоящее 
время ребенок доучивается в школе и планирует госпитализироваться в 
конце мая.

В нашем дружном (без кавычек) коллективе возникли разногласия по тактике 
лечения. Было предложено несколько решений данной проблемы:
1.	Самые консервативные – оставить как есть, понаблюдать ЛФК, массаж 
итд. Пусть дальше подрастет и решить, что делать. Противники – зона 
роста закрылась, ну или почти и ожидать улучшения сомнительно. Боли 
сохраняются и вероятно будут усиливаться. Нарушена анатомия 
голеностопного сустава. Вероятно прогрессирование невропатии 
малоберцового нерва.
2.	Самые радикальные – немедленно удлинить только большеберцовую кость 
до долженствующей длины, с учетом анатомии голеностопного сустава. 
Ориентировочно до 2,0 см. Компоновка аппарат обсуждаема. Плюсы – 
восстановление анатомии. Минус длительность лечение. Противники - зачем 
гоняться за 1-2 см.
3.	Экспериментальные – укорочение малоберцовой кости, резекция до 2,0 
см. Далее сама? Установится на место?
4.	И осторожные - резекция/ косая остеотомия малоберцовой кости и в 
аппарате компрессия до долженствующей анатомии. Плюсы и минусы очевидные 
в каждой методике.Очень хотелось бы услышать Ваше мнение коллеги. Я 
думаю, многие уже встречались с данной ситуацией и выходили из нее 
победителями. Однако, к моему сожаления я столкнулся с ней 
впервые.Заранее благодарен. С уважением Самбатов Баир.К сожалению не 
понятно какие фото прикрепились как нет.
Баир

-----------   -----------
Вложение не в текстовом формате было извлечено…
Имя     : IMG_20170427_150127_HDR.jpg
Тип     : image/jpeg
Размер  : 40348 байтов
Описание: отсутствует
Url     : http://weborto.net:8080/pipermail/ortho/attachments/20170427/0b1a31d3/attachment-0001.jpg 


Ortho