[Ortho] Последствия травмы у подростка

v orthoforum на weborto.net
Пт Апр 28 02:37:22 YEKST 2017


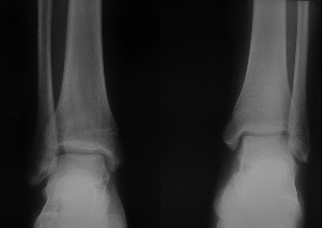
Снимки

----------- следущая часть -----------
Вложение не в текстовом формате было извлечено…
Имя     : 2.jpg
Тип     : image/jpeg
Размер  : 62564 байтов
Описание: отсутствует
Url     : http://weborto.net:8080/pipermail/ortho/attachments/20170427/7a11df93/attachment-0002.jpg 
----------- следущая часть -----------
Вложение не в текстовом формате было извлечено…
Имя     : lat.jpg
Тип     : image/jpeg
Размер  : 57523 байтов
Описание: отсутствует
Url     : http://weborto.net:8080/pipermail/ortho/attachments/20170427/7a11df93/attachment-0003.jpg 


Подробная информация о списке рассылки Ortho