[Ortho] Перелом у ребенка 2006г

Сергей orthoforum на weborto.net
Чт Авг 10 18:34:55 YEKST 2017


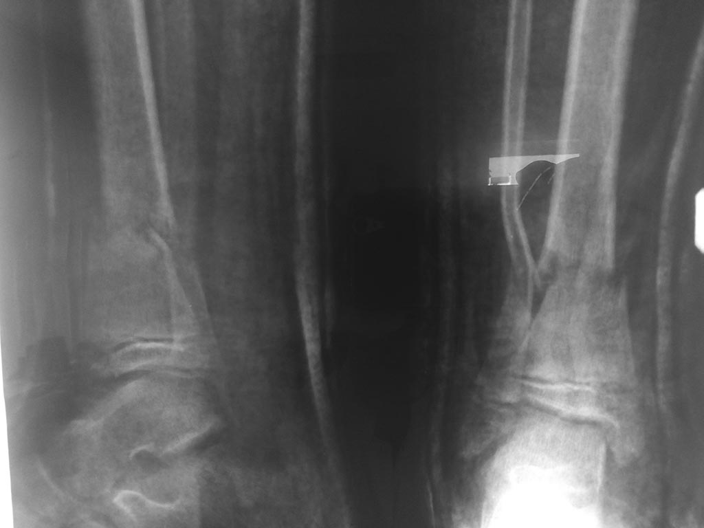
Допустимо ли стояние отломков касательно ребенка 2006г.


Сергей


----------- следущая часть -----------
Вложение не в текстовом формате было извлечено…
Имя     : 150236791440180604994.jpg
Тип     : image/jpeg
Размер  : 57574 байтов
Описание: отсутствует
Url     : http://weborto.net:8080/pipermail/ortho/attachments/20170810/7ab1d97e/attachment-0001.jpg 


Подробная информация о списке рассылки Ortho