[Ortho] Артродез голеностопного сустава

Abdurashid orthoforum на weborto.net
Пт Авг 18 23:16:18 YEKST 2017


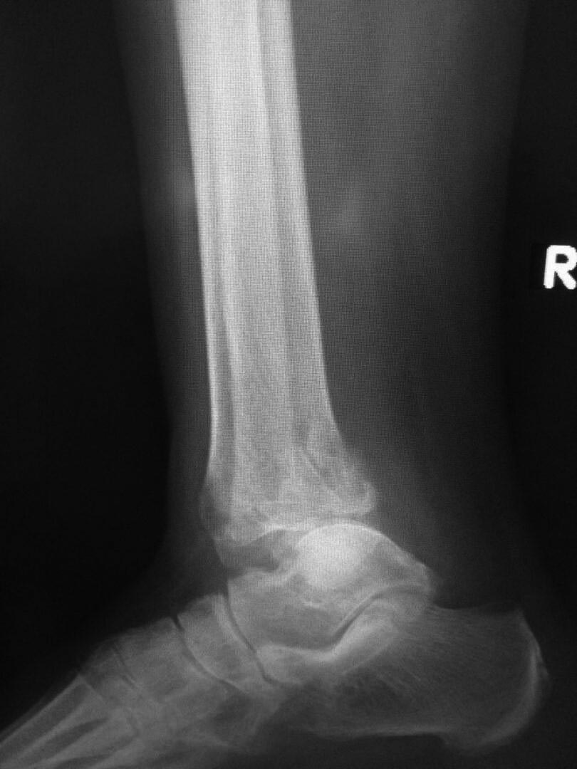
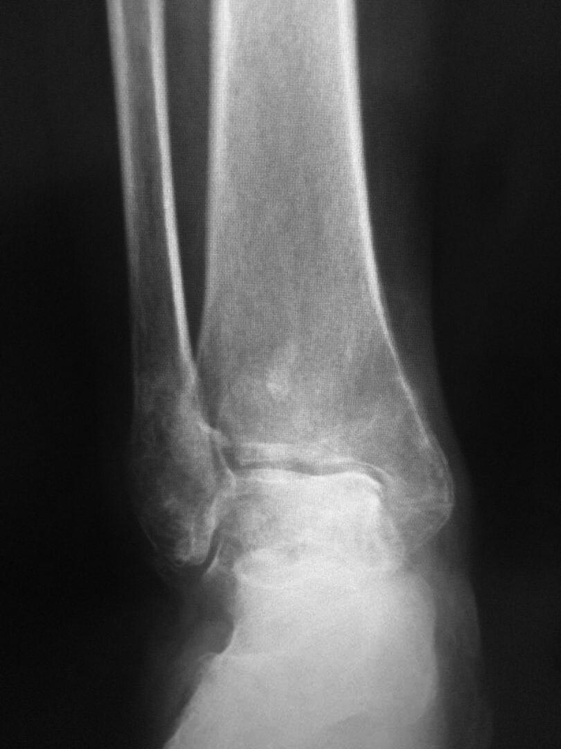
Пациентка 60л. 3 месяц назад получила травму г/стоп сустава: перелом 
обеих лодыжек, заднего края с подвывыхом стопы. Нигде не лечилась. Мне 
пригласили на консультацию в другую обл.  Все идет к артродезу. У нее 
еще сахарный диабет. Лет 10 назад я в Екатеринбурге видел как доктор 
Челноков сделал артродез г/стоп сустава закрытым способом с PFN ChM. Вот 
я тоже думаю об этом, но технику подзабыл, уважаемые коллеги может кто 
нибудь поможеть мне, или может сам яАлександр Николаевич поможеть я 
очень надеюч на яваше помощь.

С уважением Абдурашид


----------- следущая часть -----------
Вложение не в текстовом формате было извлечено…
Имя     : IMG-20170819-WA0000.jpg
Тип     : image/jpeg
Размер  : 88390 байтов
Описание: отсутствует
Url     : http://weborto.net:8080/pipermail/ortho/attachments/20170818/6595272c/attachment-0004.jpg 
----------- следущая часть -----------
Вложение не в текстовом формате было извлечено…
Имя     : IMG-20170819-WA0001.jpg
Тип     : image/jpeg
Размер  : 85884 байтов
Описание: отсутствует
Url     : http://weborto.net:8080/pipermail/ortho/attachments/20170818/6595272c/attachment-0005.jpg 
----------- следущая часть -----------
Вложение не в текстовом формате было извлечено…
Имя     : IMG-20170819-WA0002.jpg
Тип     : image/jpeg
Размер  : 88752 байтов
Описание: отсутствует
Url     : http://weborto.net:8080/pipermail/ortho/attachments/20170818/6595272c/attachment-0006.jpg 
----------- следущая часть -----------
Вложение не в текстовом формате было извлечено…
Имя     : IMG-20170819-WA0003.jpg
Тип     : image/jpeg
Размер  : 90818 байтов
Описание: отсутствует
Url     : http://weborto.net:8080/pipermail/ortho/attachments/20170818/6595272c/attachment-0007.jpg 


Подробная информация о списке рассылки Ortho