[Ortho] Клинические рекомендации по лечению переломов лодыжек?

Сергей orthoforum на weborto.net
Пн Авг 21 17:26:47 YEKST 2017


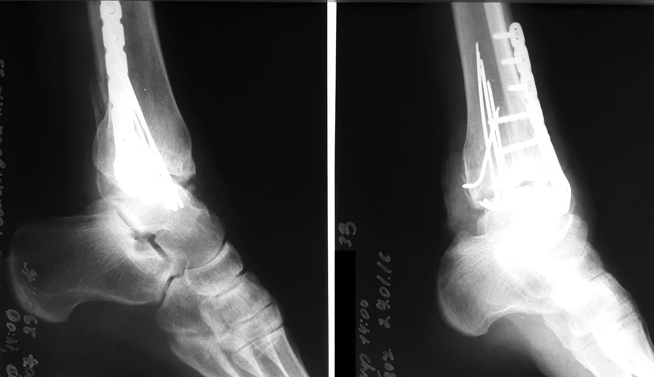
фото 1-2016
Сергей


----------- следущая часть -----------
Вложение не в текстовом формате было извлечено…
Имя     : 20170821_152018.jpg
Тип     : image/jpeg
Размер  : 90895 байтов
Описание: отсутствует
Url     : http://weborto.net:8080/pipermail/ortho/attachments/20170821/61583bbd/attachment-0002.jpg 
----------- следущая часть -----------
Вложение не в текстовом формате было извлечено…
Имя     : 20170821_152102.jpg
Тип     : image/jpeg
Размер  : 64297 байтов
Описание: отсутствует
Url     : http://weborto.net:8080/pipermail/ortho/attachments/20170821/61583bbd/attachment-0003.jpg 


Подробная информация о списке рассылки Ortho