[Ortho] Перелом голени

?????? alex61 на gmail.com
Пт Авг 25 22:02:56 YEKST 2017


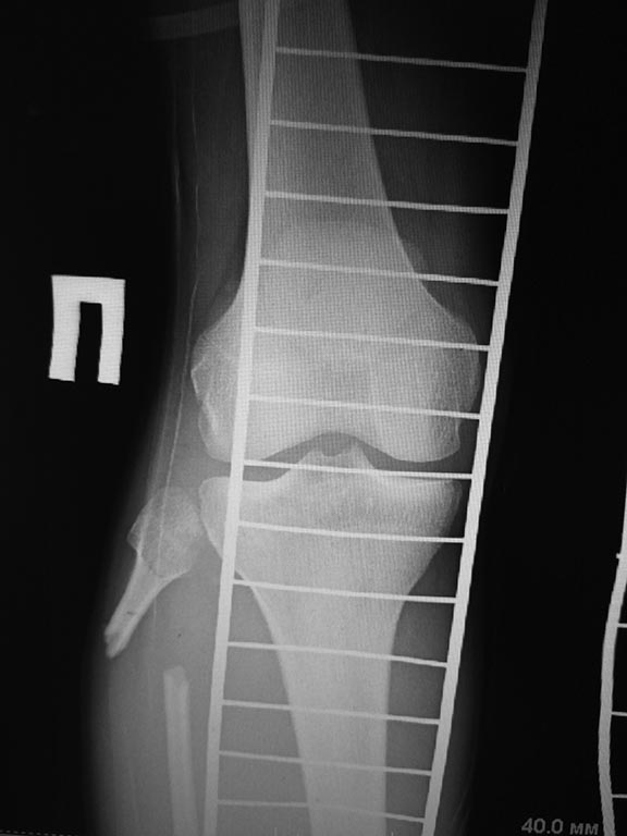
Добрый вечер, уважаемые коллеги.  Представляю Вам пациента после, 
кататравмы ,  которая случилась в декабре 2016г. Длительное время 
лечился в стационаре, множество повреждений поэтапно было оперировано. 
Что касаемо голени, перелом был закрытый.

Выполнена открытая адаптация отломков б/берцовой кости, комбинированный 
остеосинтез костей голени. Рана зажила первично. В настоящее время 
пациент передвигается самостоятельно при помощи костылей и из всех 
повреждений, вопрос с голенью остался не решенный. Представляю вам 
снимки первичные при поступлении и голень в аппарате на сегодняшний день.

Тактическое предложение следующее:
1 вариант, учитывая скомпроментированную суставную поверхность 
б/берцовой кости, выполнить ретроградно  штифтом  артодез с фиксацией 
перелома б/берцовой кости. Выполнить рассверливание и открыто не 
вмешиваться.
2 вариант)  микрохирурги предлагают открыться на место перелома 
б/берцовой кости, удалить нежизнеспособную кость и выполнить 
трансплантацию м/берцовой кости с другой голени ,  на сосудистой ножке. 
Предложите свой вариант возможного  оперативного  вмешательства. Буду 
очень признателен.
Андрей


----------- следущая часть -----------
Вложение не в текстовом формате было извлечено…
Имя     : IMG_20170823_180335.jpg
Тип     : image/jpeg
Размер  : 48173 байтов
Описание: отсутствует
Url     : http://weborto.net:8080/pipermail/ortho/attachments/20170825/2d39386e/attachment-0004.jpg 
----------- следущая часть -----------
Вложение не в текстовом формате было извлечено…
Имя     : IMG_20170823_180404.jpg
Тип     : image/jpeg
Размер  : 51344 байтов
Описание: отсутствует
Url     : http://weborto.net:8080/pipermail/ortho/attachments/20170825/2d39386e/attachment-0005.jpg 
----------- следущая часть -----------
Вложение не в текстовом формате было извлечено…
Имя     : IMG_20170823_180429.jpg
Тип     : image/jpeg
Размер  : 67179 байтов
Описание: отсутствует
Url     : http://weborto.net:8080/pipermail/ortho/attachments/20170825/2d39386e/attachment-0006.jpg 
----------- следущая часть -----------
Вложение не в текстовом формате было извлечено…
Имя     : IMG_20170823_180455.jpg
Тип     : image/jpeg
Размер  : 61362 байтов
Описание: отсутствует
Url     : http://weborto.net:8080/pipermail/ortho/attachments/20170825/2d39386e/attachment-0007.jpg 


Подробная информация о списке рассылки Ortho