[Ortho] перелом головки V пястной кости

Максим Королев orthoforum на weborto.net
Чт Дек 7 16:33:43 YEKT 2017


Пациент 41 года, трудоспособный, обратился через 2 недели после 
полученной травмы.(механизм травмы скрывает. но скорее всего дал кому-то 
в глаз), иммобилизации не выполнялась, т.к. не обращался.

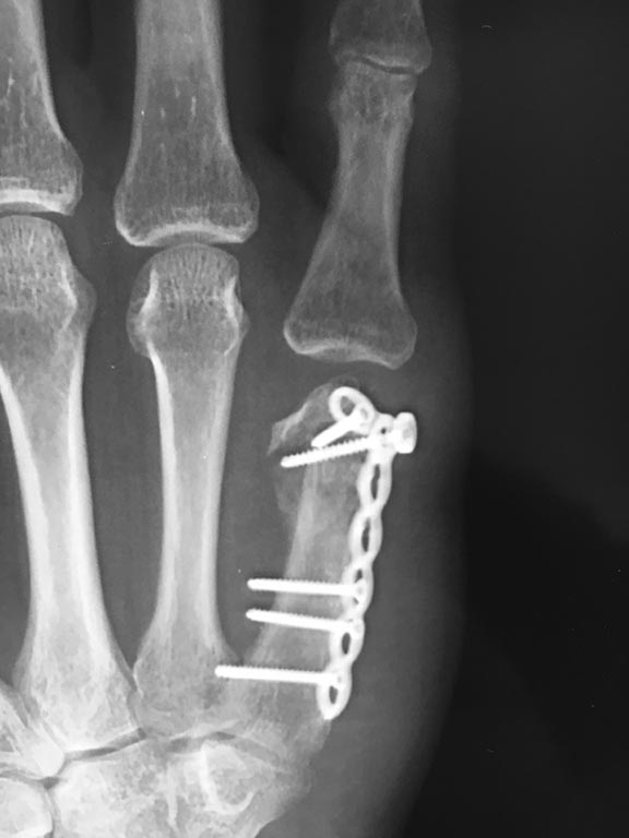
На первичных снимках - головка смещена практически на 90* (к
сожалению не сохранился). Прооперирован, на операции- головка 
раздроблена, множество мелких осколков, более крупные практически 60% 
лизированы. Головку собрали из "чего Бог пошлет", фиксировали Т образной 
пластиной Syhthes 2,0.

Подскажите, пожалуйста, что дальше?
1. Попытаться разработать что осталось от сустава (в клинике есть свой 
реабилитационной центр)
2. Направить на эндопротезирование
3.Ваши мнения
Максим Королев


----------- следущая часть -----------
Вложение не в текстовом формате было извлечено…
Имя     : IMG_4147.jpg
Тип     : image/jpeg
Размер  : 48333 байтов
Описание: отсутствует
Url     : http://weborto.net:8080/pipermail/ortho/attachments/20171207/4851e4ab/attachment-0001.jpg 


Подробная информация о списке рассылки Ortho