[Ortho] Новый перелом на фоне несращения плеча

Сергей Анисимов orthoforum на weborto.net
Вт Дек 12 00:16:56 YEKT 2017


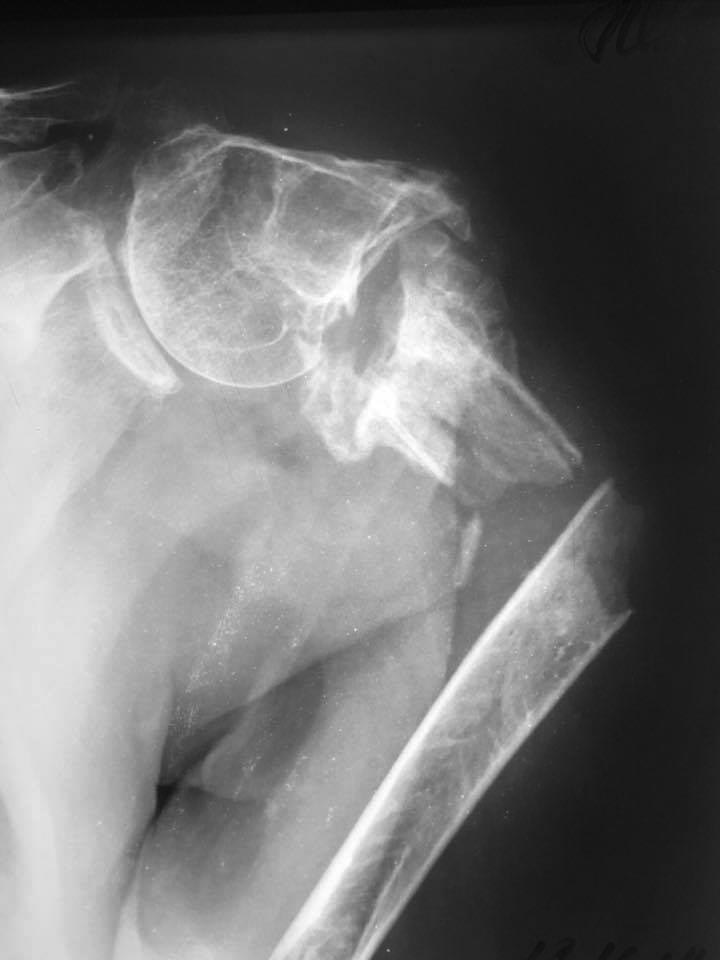
Уважаемые коллеги, подскажите ...... в принятии решения? Первая травма 2 
года назад. Вторая 2 недели.


Сергей Анисимов


----------- следущая часть -----------
Вложение не в текстовом формате было извлечено…
Имя     : 1.jpg
Тип     : image/jpeg
Размер  : 42669 байтов
Описание: отсутствует
Url     : http://weborto.net:8080/pipermail/ortho/attachments/20171211/b2fe45d6/attachment-0002.jpg 
----------- следущая часть -----------
Вложение не в текстовом формате было извлечено…
Имя     : 2.jpg
Тип     : image/jpeg
Размер  : 50298 байтов
Описание: отсутствует
Url     : http://weborto.net:8080/pipermail/ortho/attachments/20171211/b2fe45d6/attachment-0003.jpg 


Подробная информация о списке рассылки Ortho