[Ortho] PFN-a - стабильность фиксации

Alexander Chelnokov orthoforum на weborto.net
Ср Дек 13 00:49:58 YEKT 2017


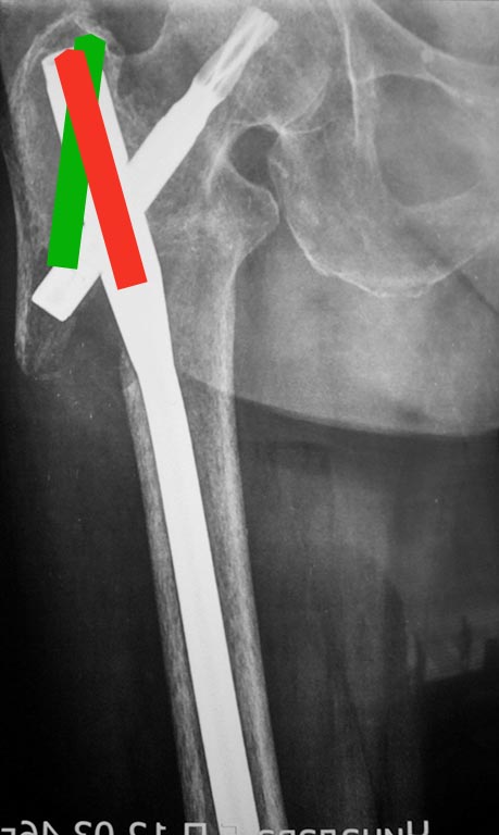
   Ни угол в гвозде, ни мнимое или реальное отсутствие латеральной 
стенки здесь ни при чем. Проблема обусловлена латеральной точкой 
введения и медиальным направлением в центральном отломке. На приложенной 
картинке зеленым обозначено должное положение гвоздя.
Alexander Chelnokov

----------- следущая часть -----------
Вложение не в текстовом формате было извлечено…
Имя     : 2.jpg
Тип     : image/jpeg
Размер  : 58148 байтов
Описание: отсутствует
Url     : http://weborto.net:8080/pipermail/ortho/attachments/20171212/3dcab3ec/attachment-0001.jpg 


Подробная информация о списке рассылки Ortho