[Ortho] Компенсационные возможности организма

Алексей Панкратьев orthoforum на weborto.net
Чт Дек 28 01:35:04 YEKT 2017


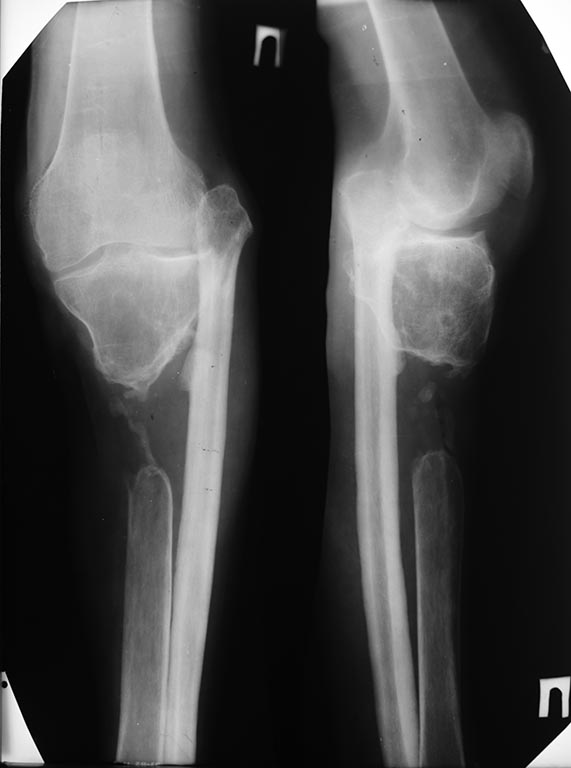
Коллеги, случайно наткнулся на рентгенограмму в архиве моего учителя. 
Травма времен Великой Отечественной войны, огнестрельный перелом, дефект 
большеберцовой кости.
Рентгенограмма 1985 года. В это время пациент передвигался с тростью с 
практически полной нагрузкой на ногу. Малоберцовая перестроилась под 
нагрузкой. Проксимальное межберцовое сочленение просело. Движения в 
"коленном суставе" до 10 градусов.

Алексей Панкратьев
ЛГМУ


----------- следущая часть -----------
Вложение не в текстовом формате было извлечено…
Имя     : IMG_3042.JPG
Тип     : image/jpeg
Размер  : 49968 байтов
Описание: отсутствует
Url     : http://weborto.net:8080/pipermail/ortho/attachments/20171227/37107d56/attachment-0001.jpeg 


Подробная информация о списке рассылки Ortho