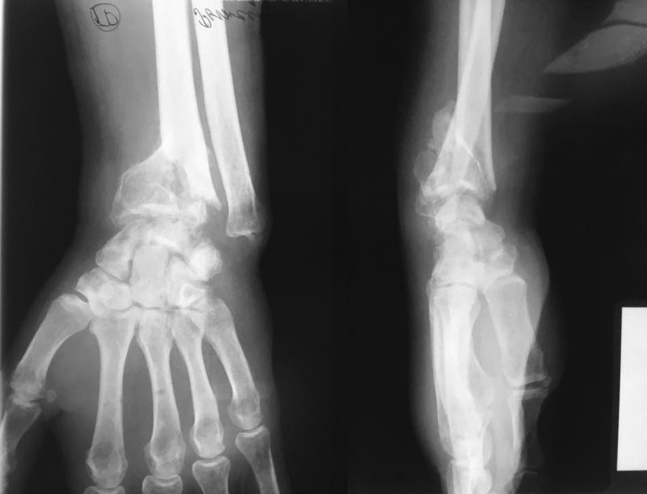
[Ortho] Дистальный луч

Кирилл Полюшкин orthoforum на weborto.net
Сб Дек 30 00:29:37 YEKT 2017


Добрый вечер, травма 5 мес назад, лечили гипсом в Ставропольском крае. 
Есть предложения?


Кирилл Полюшкин


----------- следущая часть -----------
Вложение не в текстовом формате было извлечено…
Имя     : 1.jpg
Тип     : image/jpeg
Размер  : 57225 байтов
Описание: отсутствует
Url     : http://weborto.net:8080/pipermail/ortho/attachments/20171229/79e192d6/attachment-0001.jpg 


Подробная информация о списке рассылки Ortho