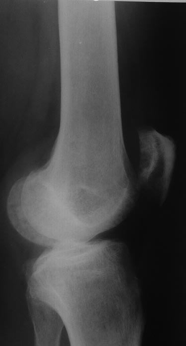
[Ortho] Остеомиелит надколенника

Андрей orthoforum на weborto.net
Сб Дек 30 23:43:08 YEKT 2017


фото
Андрей

----------- следущая часть -----------
Вложение не в текстовом формате было извлечено…
Имя     : 1.jpg
Тип     : image/jpeg
Размер  : 57181 байтов
Описание: отсутствует
Url     : http://weborto.net:8080/pipermail/ortho/attachments/20171230/997926fb/attachment-0003.jpg 
----------- следущая часть -----------
Вложение не в текстовом формате было извлечено…
Имя     : 12.jpg
Тип     : image/jpeg
Размер  : 31408 байтов
Описание: отсутствует
Url     : http://weborto.net:8080/pipermail/ortho/attachments/20171230/997926fb/attachment-0004.jpg 
----------- следущая часть -----------
Вложение не в текстовом формате было извлечено…
Имя     : 13.jpg
Тип     : image/jpeg
Размер  : 67361 байтов
Описание: отсутствует
Url     : http://weborto.net:8080/pipermail/ortho/attachments/20171230/997926fb/attachment-0005.jpg 


Подробная информация о списке рассылки Ortho