[Ortho] Периимплантный перелом плеча

Костин Василий orthoforum на weborto.net
Сб Фев 25 23:25:37 YEKT 2017


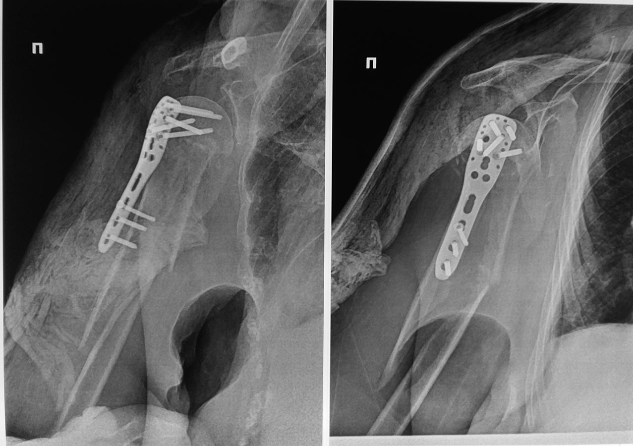
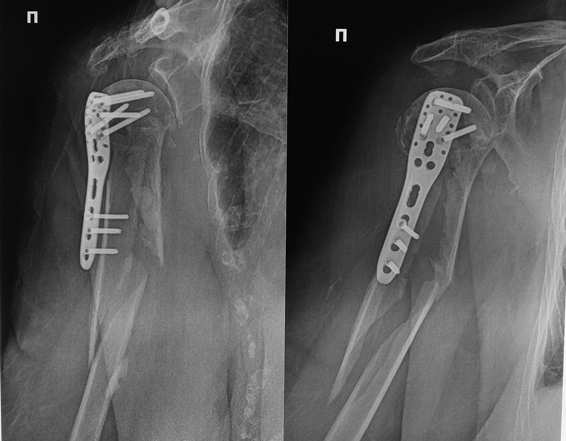
Пациентка Ф. 83 года поступила в клинику с оскольчатым переломом 
хирургической шейки плеча. Через 7 дней с момента поступления выполнена 
операция МОС. На 6-е сутки после операции падение в палате, результат 
периимплантный перелом плеча.Что делать? МОС пластиной. стержнем или 
консервативное лечение.
Костин Василий
СПБ Елизаветинская больница

----------- следущая часть -----------
Вложение не в текстовом формате было извлечено…
Имя     : 20170225_210342.jpg
Тип     : image/jpeg
Размер  : 141561 байтов
Описание: отсутствует
Url     : http://weborto.net:8080/pipermail/ortho/attachments/20170225/80cdeb5d/attachment-0002.jpg 
----------- следущая часть -----------
Вложение не в текстовом формате было извлечено…
Имя     : 20170225_210357.jpg
Тип     : image/jpeg
Размер  : 151807 байтов
Описание: отсутствует
Url     : http://weborto.net:8080/pipermail/ortho/attachments/20170225/80cdeb5d/attachment-0003.jpg 


Подробная информация о списке рассылки Ortho