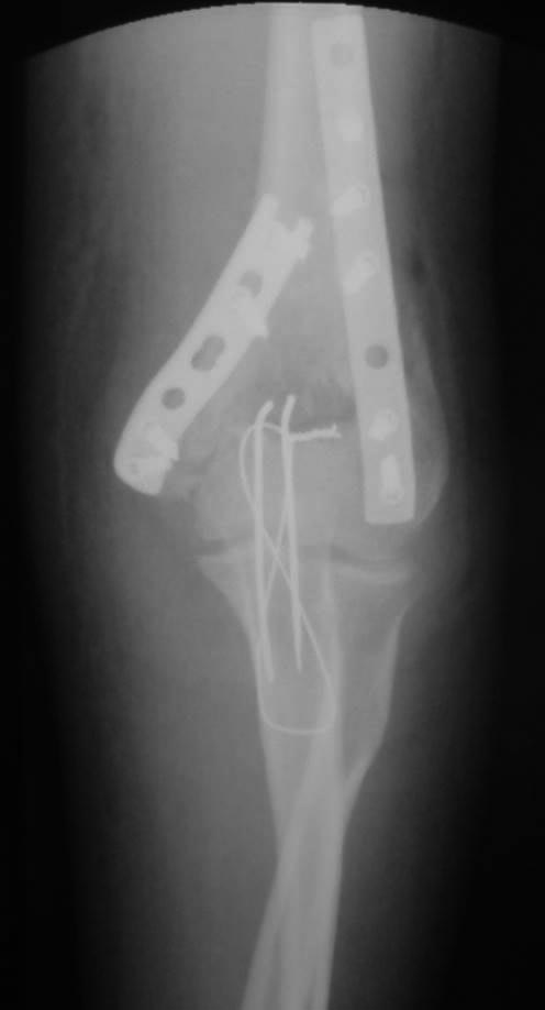
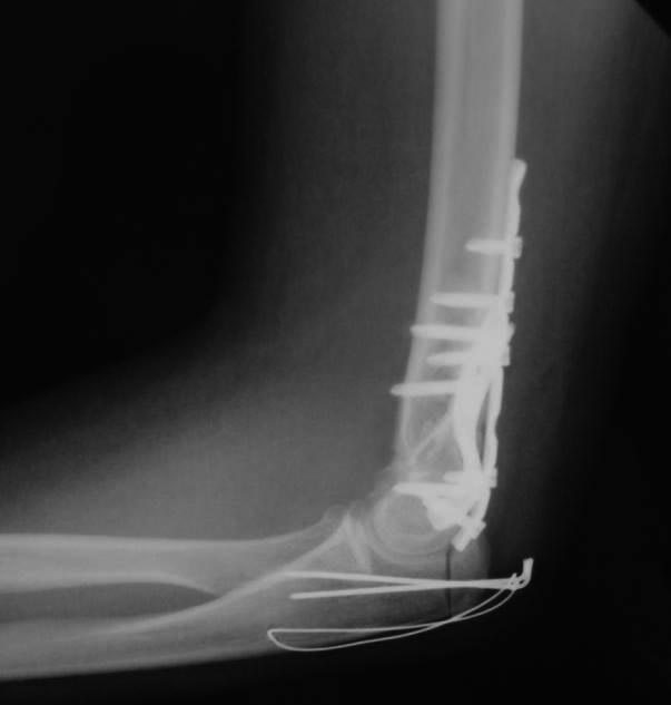
[Ortho] Перелом плечевой и головки лучевой костей (и немного локтевой)

Бережной Сергей orthoforum на weborto.net
Сб Янв 21 11:26:51 YEKT 2017


Как обещал, выкладываю послеоперационные (на следующий день после 
операции) фото. Заранее прошу слишком проксимальную остеотомию локтевого 
отростка не ругать. Обычно делаю дистальнее.
Бережной Сергей


----------- следущая часть -----------
Вложение не в текстовом формате было извлечено…
Имя     : image001.jpg
Тип     : image/jpeg
Размер  : 33234 байтов
Описание: отсутствует
Url     : http://weborto.net:8080/pipermail/ortho/attachments/20170121/6bbb000c/attachment-0004.jpg 
----------- следущая часть -----------
Вложение не в текстовом формате было извлечено…
Имя     : image003.jpg
Тип     : image/jpeg
Размер  : 26431 байтов
Описание: отсутствует
Url     : http://weborto.net:8080/pipermail/ortho/attachments/20170121/6bbb000c/attachment-0005.jpg 
----------- следущая часть -----------
Вложение не в текстовом формате было извлечено…
Имя     : image005.jpg
Тип     : image/jpeg
Размер  : 46452 байтов
Описание: отсутствует
Url     : http://weborto.net:8080/pipermail/ortho/attachments/20170121/6bbb000c/attachment-0006.jpg 
----------- следущая часть -----------
Вложение не в текстовом формате было извлечено…
Имя     : image007.jpg
Тип     : image/jpeg
Размер  : 82053 байтов
Описание: отсутствует
Url     : http://weborto.net:8080/pipermail/ortho/attachments/20170121/6bbb000c/attachment-0007.jpg 


Подробная информация о списке рассылки Ortho