[Ortho] Последствия открытой травмы стопы

Алексей Чигирёв orthoforum на weborto.net
Вт Июл 4 02:48:44 YEKST 2017


Добрый день , уважаемые коллеги! Интересует ваше мнение относительно 
тактики лечения данного повреждения.

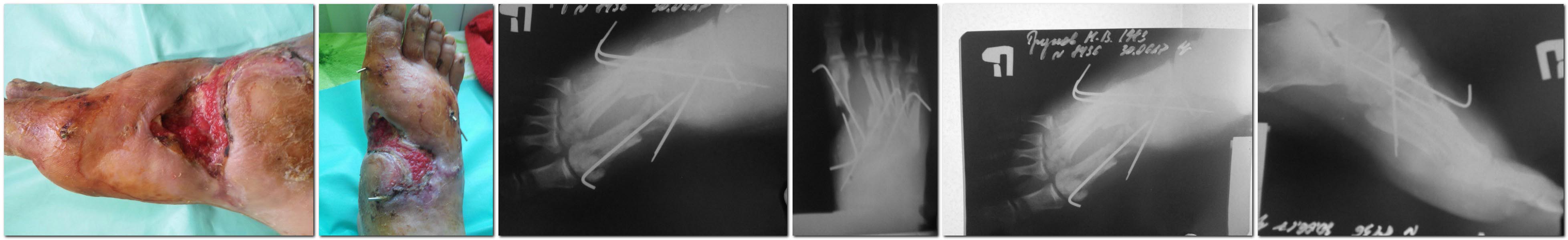
Травма 27.04.17.- открытая травма стопы с переломом 1-5 плюсневых костей 
и дефектом мягких тканей( со слов принимавшего доктора); выполнена ПХО с 
фиксацией спицами. В дальнейшем развились некрозы мягких тканей и 
основания 1 - плюсневой кости ( в области перелома),
выполнялись ВХО, перевязки.

На данный момент -картина представлена на фото; в ране отломок 1 
плюсневой кости.

Поделитесь, пожалуйста, вашими соображениями по поводу дальнейшего
ведения.Что делать с 1 плюсневой в данном её состоянии? Заранее признателен!
Алексей Чигирёв
МБУЗ ЦРБ АР


----------- следущая часть -----------
Вложение не в текстовом формате было извлечено…
Имя     : 2017-07-03_222629.jpg
Тип     : image/jpeg
Размер  : 168513 байтов
Описание: отсутствует
Url     : http://weborto.net:8080/pipermail/ortho/attachments/20170703/658b5e6d/attachment-0002.jpg 
----------- следущая часть -----------
Вложение не в текстовом формате было извлечено…
Имя     : IMG_2109.jpg
Тип     : image/jpeg
Размер  : 166249 байтов
Описание: отсутствует
Url     : http://weborto.net:8080/pipermail/ortho/attachments/20170703/658b5e6d/attachment-0003.jpg 


Подробная информация о списке рассылки Ortho