[Ortho] Последствия травмы стопы

Чигирёв Алексей orthoforum на weborto.net
Вт Июл 4 12:35:11 YEKST 2017


Здравствуйте уважаемые коллеги!Прошу поделиться соображениями по поводу 
тактики лечения данного клинического случая.

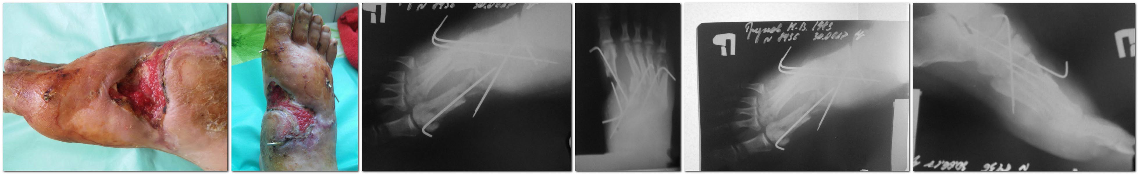
Травма 27.04.17.- открытый перелом 1-5 плюсневых костей на уровне 
оснований со смещением, дефект мягких тканей (со слов принимавшего доктора).

При поступлении выполнена ПХО с фиксацией спицами, далее перевязки и 
несколько ВХО,на которых в т.ч. выполнена краевая резекция отломков 1 
плюсневой кости.Сформировалась вялогранулирующая рана с м/тканным 
дефектом и "обнажённой" 1 плюсневой костью. Да, пациент страдает 
сахарным диабетом 2 типа.
Какие возможны варианты ведения на ваш взгляд? Что делать с 1 плюсневой 
костью? Спасибо всем!
Чигирёв Алексей
МБУЗ ЦРБ АР


----------- следущая часть -----------
Вложение не в текстовом формате было извлечено…
Имя     : 2017-07-03_222629.jpg
Тип     : image/jpeg
Размер  : 168513 байтов
Описание: отсутствует
Url     : http://weborto.net:8080/pipermail/ortho/attachments/20170704/f115d9e2/attachment-0002.jpg 
----------- следущая часть -----------
Вложение не в текстовом формате было извлечено…
Имя     : IMG_2109.jpg
Тип     : image/jpeg
Размер  : 166249 байтов
Описание: отсутствует
Url     : http://weborto.net:8080/pipermail/ortho/attachments/20170704/f115d9e2/attachment-0003.jpg 


Подробная информация о списке рассылки Ortho