[Ortho] Перелом вертлужной впадиный у ребенка

Иван orthoforum на weborto.net
Вт Июл 11 18:05:17 YEKST 2017


Добры день, коллеги! Помогите пожалуйста определиться с тактикой ведения 
больного.
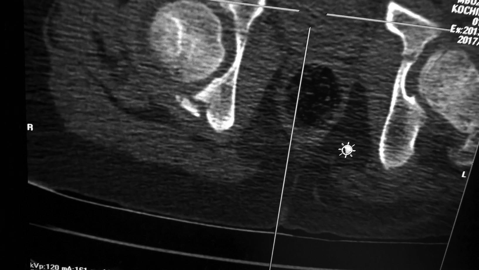
Ребенок 11 лет (мальчик), травма 04.07.17г: падение с высоты 3м. Вот 
такой вот перелом вертлужной впадины. Есть ли необходимость в фиксации 
перелома? Или будет достаточно 3 недели вытяжения, далее иммобилизация? 
Спасибо.


Иван



----------- следущая часть -----------
Вложение не в текстовом формате было извлечено…
Имя     : WP_20170711_11_36_55_Pro.jpg
Тип     : image/jpeg
Размер  : 137304 байтов
Описание: отсутствует
Url     : http://weborto.net:8080/pipermail/ortho/attachments/20170711/e9fbef4d/attachment-0001.jpg 


Подробная информация о списке рассылки Ortho