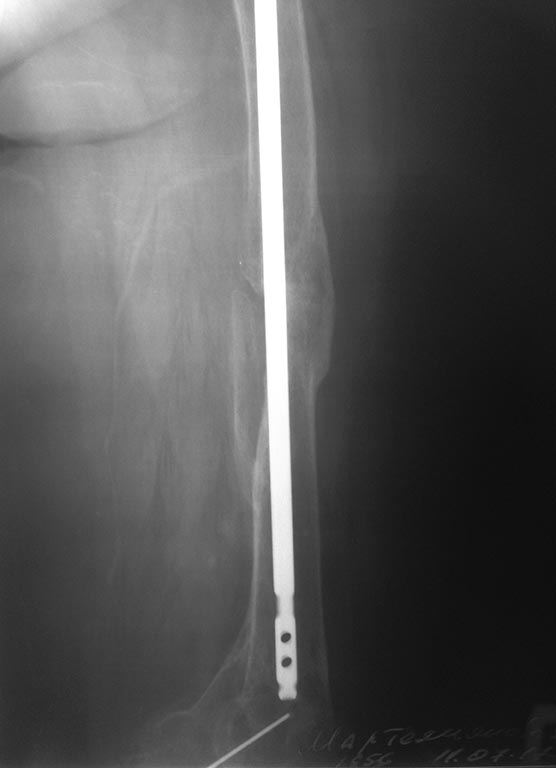
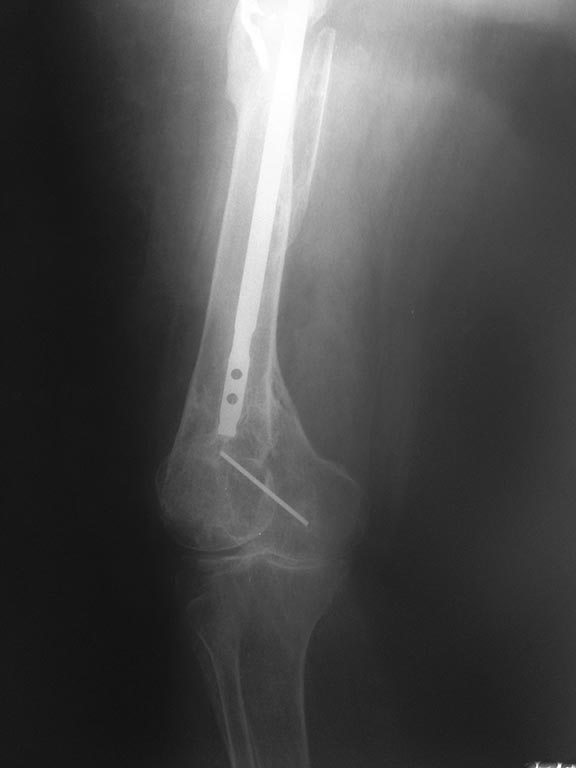
[Ortho] Удаление стержня из бедра перед эндопротезированием?

вадим orthoforum на weborto.net
Ср Июл 26 01:25:23 YEKST 2017


еще снимки
вадим

----------- следущая часть -----------
Вложение не в текстовом формате было извлечено…
Имя     : IMG_6568.JPG
Тип     : image/jpeg
Размер  : 39042 байтов
Описание: отсутствует
Url     : http://weborto.net:8080/pipermail/ortho/attachments/20170725/b3d50562/attachment.jpe 
----------- следущая часть -----------
Вложение не в текстовом формате было извлечено…
Имя     : IMG_6570.JPG
Тип     : image/jpeg
Размер  : 31163 байтов
Описание: отсутствует
Url     : http://weborto.net:8080/pipermail/ortho/attachments/20170725/b3d50562/attachment-0004.jpeg 
----------- следущая часть -----------
Вложение не в текстовом формате было извлечено…
Имя     : IMG_6609.JPG
Тип     : image/jpeg
Размер  : 112904 байтов
Описание: отсутствует
Url     : http://weborto.net:8080/pipermail/ortho/attachments/20170725/b3d50562/attachment-0005.jpeg 
----------- следущая часть -----------
Вложение не в текстовом формате было извлечено…
Имя     : IMG_6613.JPG
Тип     : image/jpeg
Размер  : 161968 байтов
Описание: отсутствует
Url     : http://weborto.net:8080/pipermail/ortho/attachments/20170725/b3d50562/attachment-0006.jpeg 


Подробная информация о списке рассылки Ortho