[Ortho] Перелом дистального отдела бедра

Андрей orthoforum на weborto.net
Пн Июл 31 00:15:17 YEKST 2017


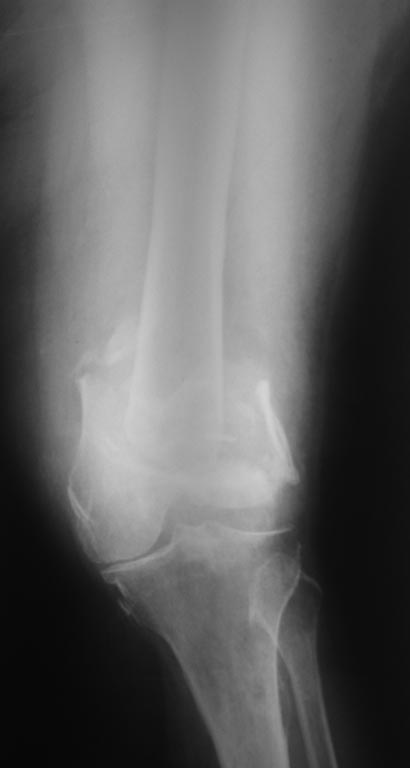
Перелом бедра у женщины 65 лет, случился 7 мес. назад( падение с высоты 
роста на колено) . Живет в деревне, лечил хирург, снимки ни разу не делали.

Со слов больной после травмы в области коленного сустава была рана, 
долго заживала.
Пациентка весит 120кг. В настоящее время передвигается в кресле коляске, 
правая нога не опорная.Снимки и внешний вид конечности прилагаются 
(свежие и единственные).

Из сопутствующей патологии: ожирение 3ст, артериальная гипертензия и 
сахарный диабет 2тип, компенсация. Пациентка очень хочет самостоятельно 
передвигаться.

Планируем выполнить артродез коленного сустава длинным штифтом( 
бедро-голень). Хотелось услышать ваше предложения и мнения по тактике, 
возможные варианты оперативного лечения.
Андрей


----------- следущая часть -----------
Вложение не в текстовом формате было извлечено…
Имя     : IMG_20170728_143749.jpg
Тип     : image/jpeg
Размер  : 33403 байтов
Описание: отсутствует
Url     : http://weborto.net:8080/pipermail/ortho/attachments/20170730/5a31ab72/attachment-0004.jpg 
----------- следущая часть -----------
Вложение не в текстовом формате было извлечено…
Имя     : IMG_20170728_143804.jpg
Тип     : image/jpeg
Размер  : 30304 байтов
Описание: отсутствует
Url     : http://weborto.net:8080/pipermail/ortho/attachments/20170730/5a31ab72/attachment-0005.jpg 
----------- следущая часть -----------
Вложение не в текстовом формате было извлечено…
Имя     : IMG_20170728_143910.jpg
Тип     : image/jpeg
Размер  : 93521 байтов
Описание: отсутствует
Url     : http://weborto.net:8080/pipermail/ortho/attachments/20170730/5a31ab72/attachment-0006.jpg 
----------- следущая часть -----------
Вложение не в текстовом формате было извлечено…
Имя     : IMG_20170728_143925.jpg
Тип     : image/jpeg
Размер  : 147372 байтов
Описание: отсутствует
Url     : http://weborto.net:8080/pipermail/ortho/attachments/20170730/5a31ab72/attachment-0007.jpg 


Подробная информация о списке рассылки Ortho