[Ortho] Перипротезный перелом бедра у ребёнка

Сергей Тарасов orthoforum на weborto.net
Пт Июн 16 12:50:34 YEKST 2017


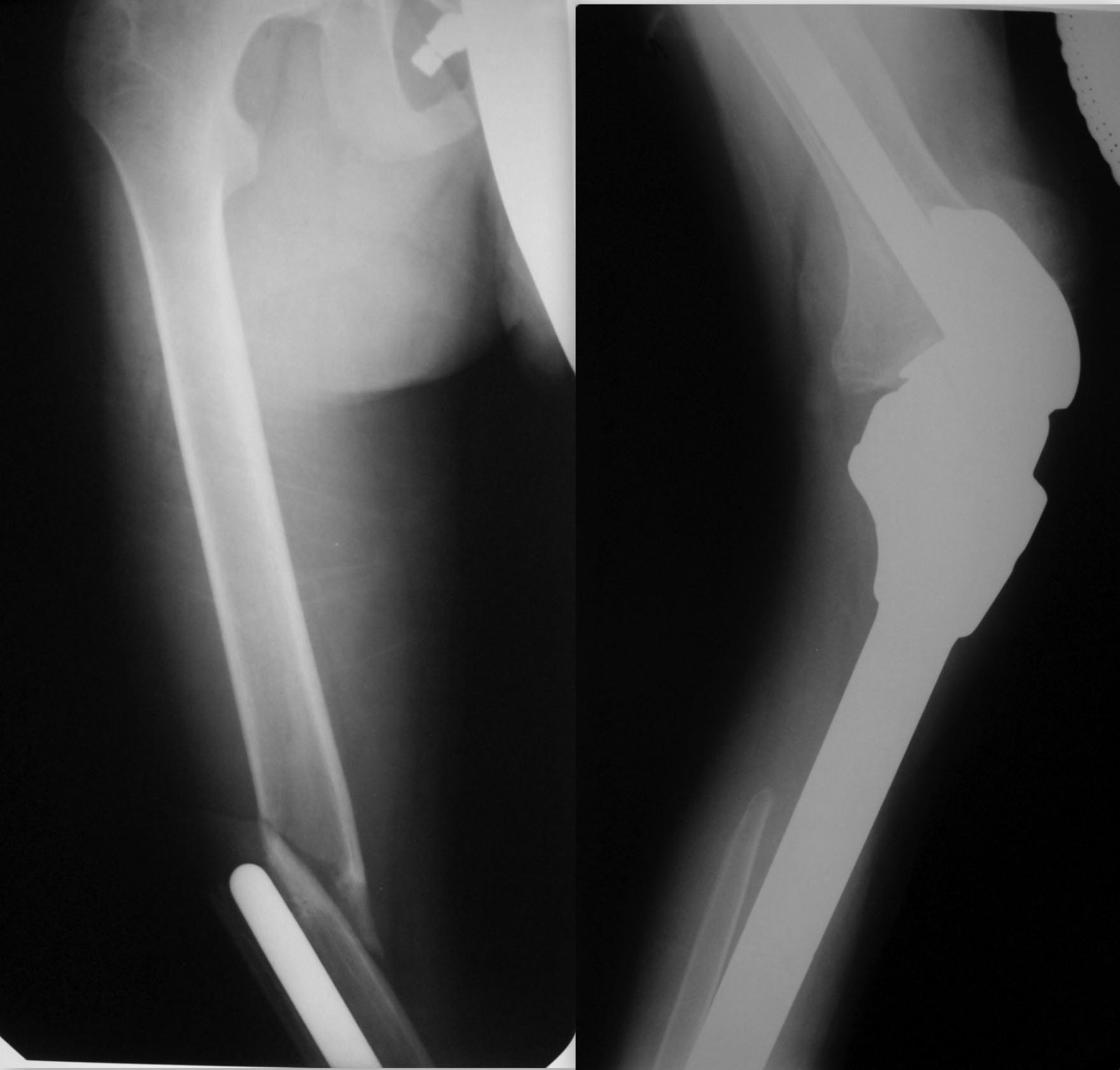
Здравствуйте, уважаемые коллеги. Нужен Ваш совет. 15-летний подросток. В 
возрасте 14 лет выявлена остеогенная саркома большеберцовой кости, после 
предварительного курса ПХТ оперирован в феврале 2016 г. в столичной 
клинике, выполнена резекция костей голени с
опухолью, эндопротезирование коленного сустава.

3 дня назад - травма - подвернул ногу, упал. Имеем перелом бедра на 
уровне проксимального штифта протеза. Учитывая, что с эндопротезами мы 
дело в детском отделении не имеем, опыта лечения подобных больных нет.
Связывались с отделением, где ребёнка оперировали, там посоветовали 
коксит на 2-3 месяца.
Но... 1. Подобный перелом удержать в коксите - более чем непростая 
задача, да и понадобится, наверное, не 2-3 месяца. 2. Хочется всё-таки 
мобилизовать ребёнка, он и так уже 2 с лишним года лечился от более чем 
серьёзной болезни, ходил на костылях. В связи с чем прошу совета, как
быть. Оставить всё-таки в коксите? Оперировать? Если да, то чем? В 
наличии - аппарат Илизарова, стержневые аппараты, пластины без УС, 
детские блокированные гвозди Остеомед.
Собственные мысли - купим длинную пластину с угловой стабильностью, 
постараемся провести шурупы мимо ножки эндопротеза. Либо комбинированный 
спице-стержневой аппарат опять-таки, спицы вне ножки протеза. Хотелось 
бы узнать мнения более опытных коллег.
Заранее спасибо.
Сергей Тарасов


----------- следущая часть -----------
Вложение не в текстовом формате было извлечено…
Имя     : Desktop.jpg
Тип     : image/jpeg
Размер  : 107850 байтов
Описание: отсутствует
Url     : http://weborto.net:8080/pipermail/ortho/attachments/20170616/d74f98f3/attachment-0001.jpg 


Подробная информация о списке рассылки Ortho