[Ortho] Подскажите оптимальную тактику - перелом шейки бедра при политравме

Rt orthoforum на weborto.net
Пт Июн 23 20:01:08 YEKST 2017


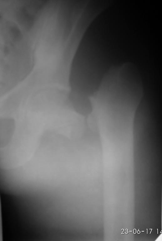
Коллеги, подскажите оптимальную тактику. Мотоциклист, 30 лет, 
политравма, ЧМТ, перелом лицевого скелета, открытая проксимальная голень 
и ипсилатеральная шейка бедра. Более недели в РАО. На данный момент 
стабилен,переведен в отделение. Вопрос по шейке, срок упущен, да и 
повреждение с максимальным нарушением кровоснабжения,что оптимальный -
синтез или первичное эндопротезирование? Мнения разделились.


Rt


----------- следущая часть -----------
Вложение не в текстовом формате было извлечено…
Имя     : IMG_20170623_144805_HDR.jpg
Тип     : image/jpeg
Размер  : 30245 байтов
Описание: отсутствует
Url     : http://weborto.net:8080/pipermail/ortho/attachments/20170623/0b8f0537/attachment-0001.jpg 


Подробная информация о списке рассылки Ortho