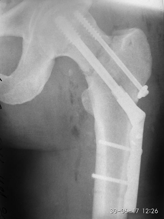
[Ortho] Подскажите оптимальную тактику - перелом шейки бедра при политравме

Rt orthoforum на weborto.net
Пт Июн 30 13:56:31 YEKST 2017


Пока только фас. Бок технически не получилось (АВФ бедро-голень на 
уровне колена). Профиль С ЭОПа.
Rt


----------- следущая часть -----------
Вложение не в текстовом формате было извлечено…
Имя     : IMG_20170630_122624_HDR.jpg
Тип     : image/jpeg
Размер  : 55937 байтов
Описание: отсутствует
Url     : http://weborto.net:8080/pipermail/ortho/attachments/20170630/6be12e76/attachment-0002.jpg 
----------- следущая часть -----------
Вложение не в текстовом формате было извлечено…
Имя     : IMG-20170630-WA0000.jpg
Тип     : image/jpeg
Размер  : 65271 байтов
Описание: отсутствует
Url     : http://weborto.net:8080/pipermail/ortho/attachments/20170630/6be12e76/attachment-0003.jpg 


Подробная информация о списке рассылки Ortho