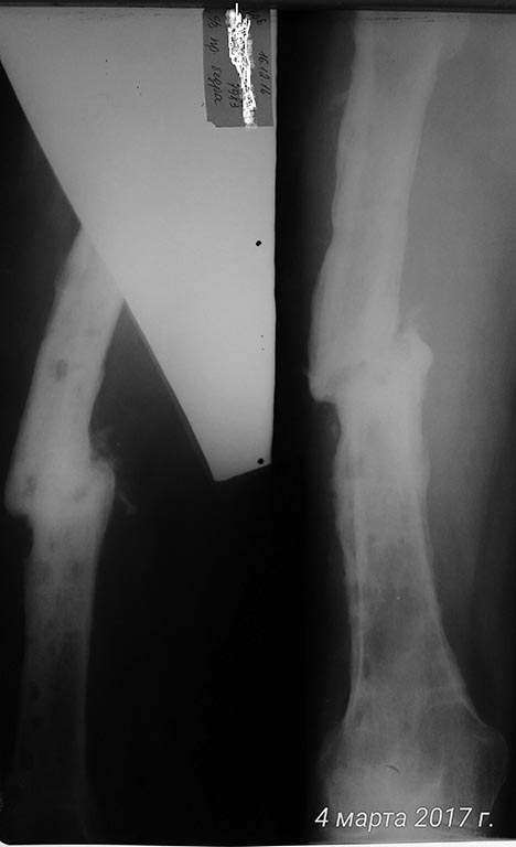
[Ortho] хронический остеомиелит с/3 бедра, свищевая форма, стадия обострения. Несросшийся перелом с/3 бедренной кости.

ИСТ orthoforum на weborto.net
Вс Мар 5 11:07:00 YEKT 2017


Помогите, пожалуйста, определиться с объёмом и методом оперативного 
вмешательства.	

Больной К., 1983 г.р. попал ко мне (в отделение гн.хирургии) 02.03.17. 
Краткий анамнез (со слов больного и согласно предоставленной 
мед.документации): 2013г - о/перелом ср/3 правой бедренной кости. АВФ. 
Затем конверсия на БИОС. В позднем послеоперационном периоде - нагноение.

Диагностирован ХТО средней трети правого бедра, свищевая форма.

2014г - удаление м/к, некрэктомия, стержневой АВФ. 2015г - рецидив. 
Повторная СНЭ, сегментарная резекция с\3 правой бедренной кости, 
пермонтаж АВФ.

Сентябрь 2016г - демонтаж АВФ. Больной ходил с полной опорой, в бандаже. 
В середине феврале 2017 обострение процесса, выраженный отек правого 
бедра, лихорадка. Пациент самостоятельно дренирует очаг.

Локально при поступлении: по латеральной пов-ти ср/3 правого бедра п/о 
рубцы, 2 свища с гнойно-геморрагическим отделяемым, дно - бедренная 
кость. На рентгенограмме: перелом не сросся. Выполнена фистулография.

Помогите, пожалуйста, определиться с объёмом и методом оперативного 
вмешательства. - опять СНЭ, АВФ? (бусы?) - или СНЭ, ИОС с цементной 
мантией? - или первое, а в холодный период второе?
ИСТ



----------- следущая часть -----------
Вложение не в текстовом формате было извлечено…
Имя     : P_20170304_124359_1_p.jpg
Тип     : image/jpeg
Размер  : 35551 байтов
Описание: отсутствует
Url     : http://weborto.net:8080/pipermail/ortho/attachments/20170305/f5abc040/attachment-0001.jpg 


Подробная информация о списке рассылки Ortho