[Ortho] очередная оперированная стопа

Maxim Agalakov orthoforum на weborto.net
Пт Мар 10 12:58:23 YEKT 2017


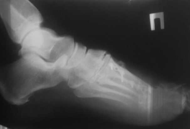
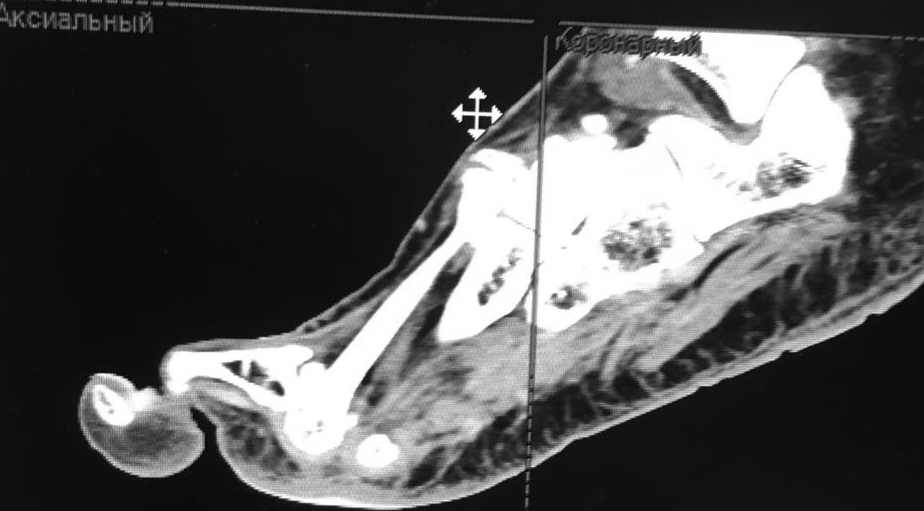
женщина средних лет, оперирована около года назад

заранее извиняюсь за скудость информации (консультация заочная). 
Насколько я понял, беспокоит метатарсалгия. Достаточно будет укоротить 
II-IV? Что-то другое? на что обратить внимание?
Maxim Agalakov



----------- следущая часть -----------
Вложение не в текстовом формате было извлечено…
Имя     : д?б.jpg
Тип     : image/jpeg
Размер  : 22999 байтов
Описание: отсутствует
Url     : http://weborto.net:8080/pipermail/ortho/attachments/20170310/26974d7c/attachment-0001.jpg 
----------- следущая часть -----------
Вложение не в текстовом формате было извлечено…
Имя     : IMG_2726.JPG
Тип     : image/jpeg
Размер  : 69448 байтов
Описание: отсутствует
Url     : http://weborto.net:8080/pipermail/ortho/attachments/20170310/26974d7c/attachment-0005.jpeg 
----------- следущая часть -----------
Вложение не в текстовом формате было извлечено…
Имя     : IMG_2727.JPG
Тип     : image/jpeg
Размер  : 72149 байтов
Описание: отсутствует
Url     : http://weborto.net:8080/pipermail/ortho/attachments/20170310/26974d7c/attachment-0006.jpeg 
----------- следущая часть -----------
Вложение не в текстовом формате было извлечено…
Имя     : IMG_2729.JPG
Тип     : image/jpeg
Размер  : 16089 байтов
Описание: отсутствует
Url     : http://weborto.net:8080/pipermail/ortho/attachments/20170310/26974d7c/attachment-0007.jpeg 
----------- следущая часть -----------
Вложение не в текстовом формате было извлечено…
Имя     : IMG_2730.JPG
Тип     : image/jpeg
Размер  : 36880 байтов
Описание: отсутствует
Url     : http://weborto.net:8080/pipermail/ortho/attachments/20170310/26974d7c/attachment-0008.jpeg 
----------- следущая часть -----------
Вложение не в текстовом формате было извлечено…
Имя     : IMG_2731.JPG
Тип     : image/jpeg
Размер  : 45207 байтов
Описание: отсутствует
Url     : http://weborto.net:8080/pipermail/ortho/attachments/20170310/26974d7c/attachment-0009.jpeg 


Подробная информация о списке рассылки Ortho