[Ortho] боли в лучезапястном суставе

Oleg Afanasyev orthoforum на weborto.net
Вс Мар 12 20:15:26 YEKT 2017


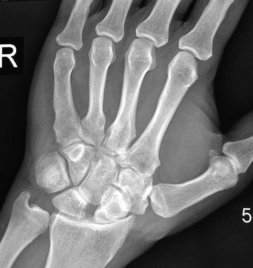
Больной С 42 года,обратился с жалобами на боли л/з суставе,усиление боли 
при осевой и ротационной нагрузках. травма около 2-х лет назад,лечился 
самостоятельно. При осмотре:отек л/з сустава,ограничение разгибания и 
сгибания.При пальпации усиления боли в проекции ладьи,иррадиация боли по 
ходу лучевого нерва. Ваше мнение по тактике лечения?
Oleg Afanasyev
БСМП


----------- следущая часть -----------
Вложение не в текстовом формате было извлечено…
Имя     : IMG_20170312_155636[1].jpg
Тип     : image/jpeg
Размер  : 110918 байтов
Описание: отсутствует
Url     : http://weborto.net:8080/pipermail/ortho/attachments/20170312/8f64c247/attachment-0001.jpg 


Подробная информация о списке рассылки Ortho