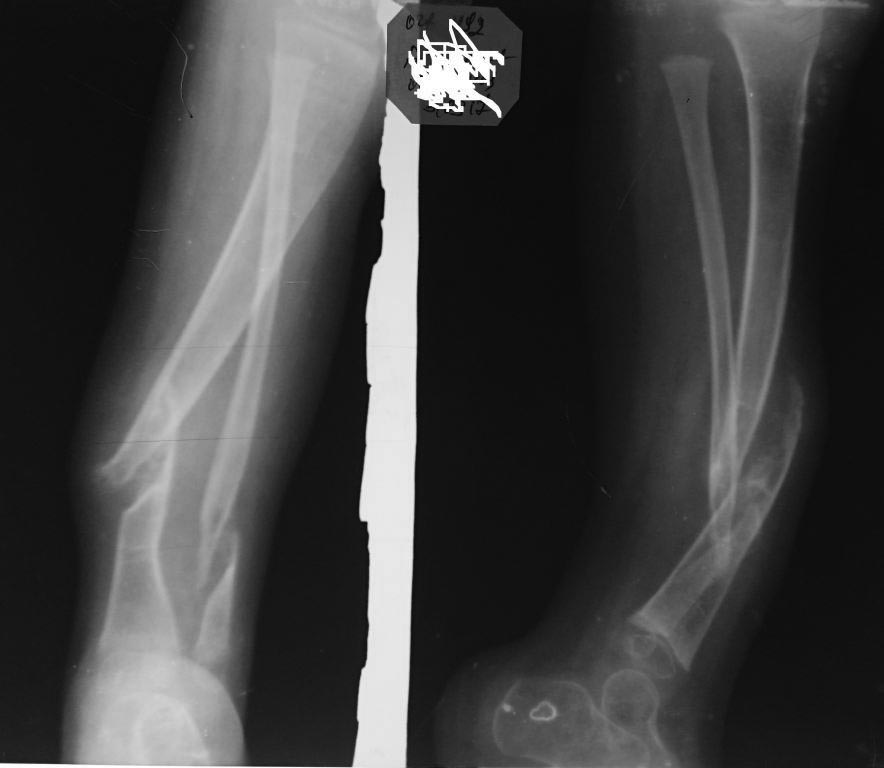
[Ortho] Врожденный ложный сустав костей голени

Ниязов Нияз orthoforum на weborto.net
Вс Мар 12 21:05:57 YEKT 2017


Пример будующего пациента
Ниязов Нияз

----------- следущая часть -----------
Вложение не в текстовом формате было извлечено…
Имя     : pseudoarthrosis.jpg
Тип     : image/jpeg
Размер  : 49059 байтов
Описание: отсутствует
Url     : http://weborto.net:8080/pipermail/ortho/attachments/20170312/c3f2acf2/attachment-0001.jpg 


Подробная информация о списке рассылки Ortho