[Ortho] Падение с высоты

Бек orthoforum на weborto.net
Пт Мар 17 23:35:45 YEKT 2017


Здравствуйте коллеги прошу делиться с опытами лечение в данном случае 
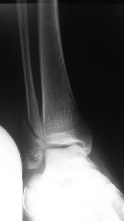
Больной Х. Упал с высоты 5го этажаЗак.пер L1 з.пер локт отростка. Перед. 
Задн колоны таза. Подвертельный пер. Пр бедра. ОСКОЛТЧАТЫЙ ПЕРЕЛОМ ОБОИХ 
ПЯТОЧНОЙ КОСТИ +н.лодыж лева

Сделано: Таз фиксирован АВФ. Ск вытяжение чз буг б.берцовой кости справа 
. лева н.конеч фиксирован шиной. Планируем DHS пр бедра. Пятку спицами 
Какой метод эффективный в данном переломе пяточной кости????? Спасибо (
Бек



----------- следущая часть -----------
Вложение не в текстовом формате было извлечено…
Имя     : 20170317_184733.jpg
Тип     : image/jpeg
Размер  : 27217 байтов
Описание: отсутствует
Url     : http://weborto.net:8080/pipermail/ortho/attachments/20170317/98805f05/attachment-0001.jpg 


Подробная информация о списке рассылки Ortho