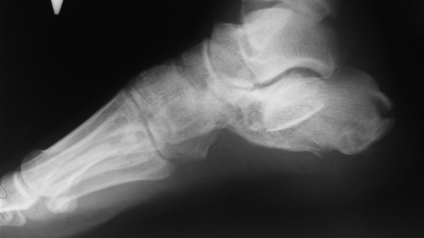
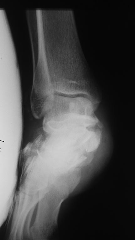
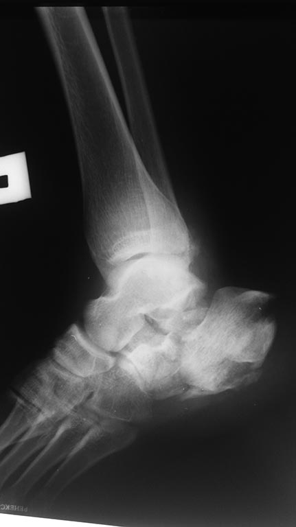
[Ortho] Падение с высоты

Бек orthoforum на weborto.net
Вт Мар 21 01:27:37 YEKT 2017


Р
Бек

----------- следущая часть -----------
Вложение не в текстовом формате было извлечено…
Имя     : 20170317_184644.jpg
Тип     : image/jpeg
Размер  : 38449 байтов
Описание: отсутствует
Url     : http://weborto.net:8080/pipermail/ortho/attachments/20170320/7e16afb9/attachment-0003.jpg 
----------- следущая часть -----------
Вложение не в текстовом формате было извлечено…
Имя     : 20170317_184700.jpg
Тип     : image/jpeg
Размер  : 37069 байтов
Описание: отсутствует
Url     : http://weborto.net:8080/pipermail/ortho/attachments/20170320/7e16afb9/attachment-0004.jpg 
----------- следущая часть -----------
Вложение не в текстовом формате было извлечено…
Имя     : 20170317_184718.jpg
Тип     : image/jpeg
Размер  : 49566 байтов
Описание: отсутствует
Url     : http://weborto.net:8080/pipermail/ortho/attachments/20170320/7e16afb9/attachment-0005.jpg 


Подробная информация о списке рассылки Ortho