[Ortho] Лодыжки

Vlad Kozanchuk orthoforum на weborto.net
Пн Мар 27 22:16:37 YEKST 2017


Добрый день, коллеги!
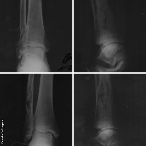
Пациент 36 лет, травму получил 14.03.2017 арматурой за то, что находился 
в неположенном месте в неположенное время.	

По латеральной поверхности г/ст суставов - ушибленые раны по 3 см. При 
поступлении выполнена ПХО ран, наложены гипсовые повязки.
На данный момент раны зажили, отёчность уменьшилась.
Собственно вопрос, стоит ли оперировать лодыжки?
Пациент молодой, но очень "интересный", уровень выполнения рекомендаций 
врача стремится к нулю.

Vlad Kozanchuk


----------- следущая часть -----------
Вложение не в текстовом формате было извлечено…
Имя     : 1 (1).jpg
Тип     : image/jpeg
Размер  : 26925 байтов
Описание: отсутствует
Url     : http://weborto.net:8080/pipermail/ortho/attachments/20170327/2a51e408/attachment-0001.jpg 


Подробная информация о списке рассылки Ortho