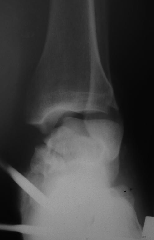
[Ortho] Перелом тела таранной кости.Первичнй артродез .

Илья orthoforum на weborto.net
Пн Май 8 13:26:59 YEKST 2017


Глубокоуважаемые коллеги!
Просим поделиться опытом и по возможности отдаленными результатами 
лечения пациентов c подобными повреждениями.

Пациент С. 28 лет строитель с вредными привычками,пострадал 1 05 17.
Стабилизировали в АВФ,лечим мягкие ткани.По нашему мнению, положительные 
результаты (особенно отдаленные) реконструктивных операций при подобных 
повреждениях - сомнительны, склоняемся к первичному артродезированию 
ретроградным стержнем.Каковы Tips & Tricks,в данной ситуации, необходимо 
учесть? Какова вероятность лизиса девитализированных фрагментов, 
ипонадобится ли в последующем костная пластика?
Благодарю за участие!
С Ув.Илья


----------- следущая часть -----------
Вложение не в текстовом формате было извлечено…
Имя     : IMG_20170505_153100Л.jpg
Тип     : image/jpeg
Размер  : 26902 байтов
Описание: отсутствует
Url     : http://weborto.net:8080/pipermail/ortho/attachments/20170508/41f6238d/attachment-0001.jpg 


Подробная информация о списке рассылки Ortho