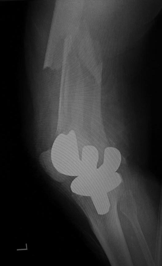
[Ortho] Перипротезный перелом дистального отдела бедра

Федор Кузьмин orthoforum на weborto.net
Чт Май 11 12:36:47 YEKST 2017


Что можно сделать? Бедренный комплект бесцементный

Федор Кузьмин


----------- следущая часть -----------
Вложение не в текстовом формате было извлечено…
Имя     : ap.jpg
Тип     : image/jpeg
Размер  : 40490 байтов
Описание: отсутствует
Url     : http://weborto.net:8080/pipermail/ortho/attachments/20170511/bd84c3eb/attachment-0002.jpg 
----------- следущая часть -----------
Вложение не в текстовом формате было извлечено…
Имя     : lat.jpg
Тип     : image/jpeg
Размер  : 39092 байтов
Описание: отсутствует
Url     : http://weborto.net:8080/pipermail/ortho/attachments/20170511/bd84c3eb/attachment-0003.jpg 


Подробная информация о списке рассылки Ortho