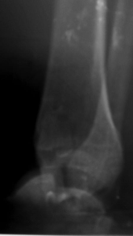
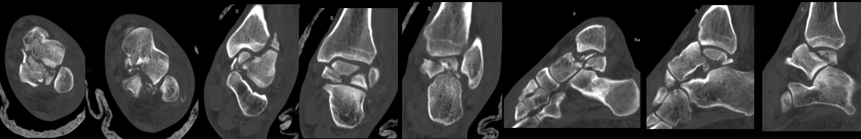
[Ortho] Перелом тела таранной кости.Первичнй артродез .

Илья orthoforum на weborto.net
Чт Май 11 12:40:59 YEKST 2017


Перелом тела таранной кости.Первичнй артродез .

Дублирую фото рентгенограммы и СКТ
Илья

----------- следущая часть -----------
Вложение не в текстовом формате было извлечено…
Имя     : ct.jpg
Тип     : image/jpeg
Размер  : 103124 байтов
Описание: отсутствует
Url     : http://weborto.net:8080/pipermail/ortho/attachments/20170511/b758d368/attachment-0002.jpg 
----------- следущая часть -----------
Вложение не в текстовом формате было извлечено…
Имя     : IMG_20170505_152934Л.jpg
Тип     : image/jpeg
Размер  : 24895 байтов
Описание: отсутствует
Url     : http://weborto.net:8080/pipermail/ortho/attachments/20170511/b758d368/attachment-0003.jpg 


Подробная информация о списке рассылки Ortho