[Ortho] Перелом лодыжек

Андрей orthoforum на weborto.net
Сб Май 20 20:10:50 YEKST 2017


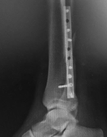
Коллеги, помогите определиться с тактикой лечения.

Обратился пациент 37 лет,офисный работник, без вредных привычек. 2,5 
месяца назад травма голеностопного сустава. Выполнен остеосинтез. Ходил 
без нагрузки на ногу в ортезе. К нам пациент обратился спустя 2,5 месяца 
после операции. Местно- область голеностопного сустава умеренно отечна. 
Послеоперационный рубец по боковой поверхности малоберцовой
кости без признаков воспаления.

Интересует мнения об особенностях реостесинтеза
Что делать c переломом после восстановления длинны и положения 
дистального отдела малоберцовой кости (насколько травматично обращались 
с осколками при первой операции неизвестно)
-делать ли костную пластику?(не вижу признаков сращения на последнем
контроле)
-зафиксировать ли достаточно большой фрагмент по задней поверхности
малоберцовой кости?
-другие особенности

Андрей

----------- следущая часть -----------
Вложение не в текстовом формате было извлечено…
Имя     : 7.JPG
Тип     : image/jpeg
Размер  : 24130 байтов
Описание: отсутствует
Url     : http://weborto.net:8080/pipermail/ortho/attachments/20170520/0f3fa3b0/attachment-0001.jpe 


Подробная информация о списке рассылки Ortho