[Ortho] Замедленная консолидация

Юрий orthoforum на weborto.net
Пн Май 29 14:46:20 YEKST 2017


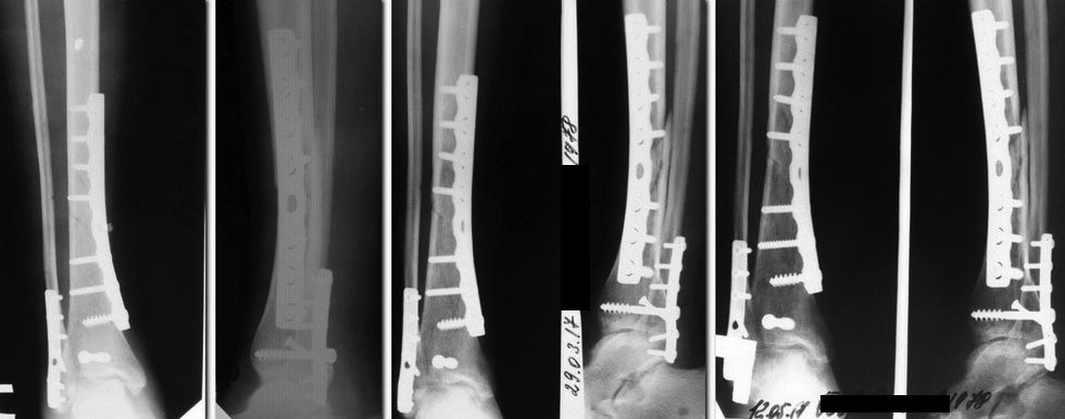
Уважаемые коллеги, помогите по тактике лечение. Девушка 39 
лет,работающая, без вредных привычек, состояние после остеосинтеза 
костей голени от 20.12.2017.

Травма бытовая 12.12.2016, 20.12.2017 выполнена открытая репозиция 
остеосинтез большеберцовой кости пластиной, заднего края ДМЭ винтом, 
синтез наружной лодыжки пластиной. Рентгенограмм до операции нет. До 
прошлой недели ходила на костылях без нагрузки, принимала остеогенон.

В январе курс реабилитации. В настоящий момент клинически - отека нет, 
п/о рубец без патологии, пальпация голени безболезненна. Движения в 
коленном суставе в полном объеме, небольшое ограничение тыльной флексии 
в голеностопном суставе.
Разрешена нагрузка 20-25 кг (до 50% массы тела), 3 дня в таком режиме - 
новых жалоб не появилось. Мнения по дальнейшему ведению разделились. 1 
вариант - продолжить ЛФК, физиолечение, медикаментозную терапию с 
дозированной нагрузкой. Подождать до еще хотя бы 3 мес. 2 вариант - 
оперативное лечение с костной пластикой. Подскажите, кто бы как поступил?
Юрий


----------- следущая часть -----------
Вложение не в текстовом формате было извлечено…
Имя     : ТЕОФЗЕОПЗТБННЩ.jpg
Тип     : image/jpeg
Размер  : 64708 байтов
Описание: отсутствует
Url     : http://weborto.net:8080/pipermail/ortho/attachments/20170529/cb01057e/attachment-0001.jpg 


Подробная информация о списке рассылки Ortho