[Ortho]

orthoforum weborto.net
29 15:51:22 YEKST 2017


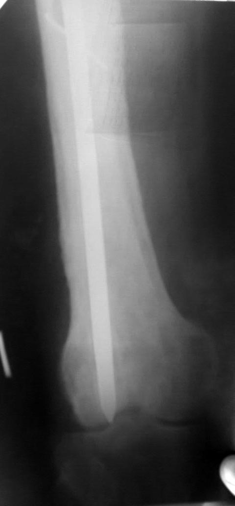
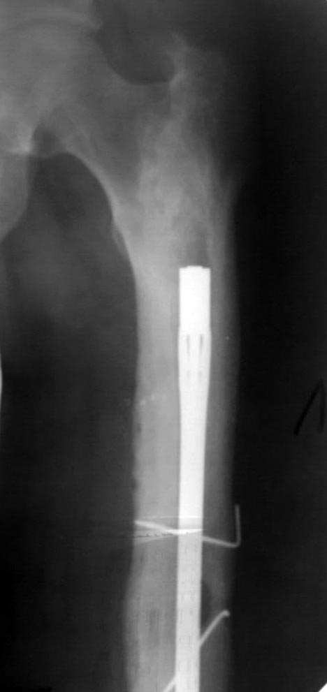
Доброго дня коллеги!поступает пациент, оперирован 9 лет назад, 
последний месяц начали беспокоить боли в коленном суставе при ходьбе


Доброго дня коллеги!поступает пациент, оперирован 9 лет назад, 
последний месяц начали беспокоить боли в коленном суставе при 
ходьбе!Визуально отек коленного сустава,синовит, ограничение и сгибания 
и разгибания. наш план зайти антеградно при помощи эопа и всетаки 
попытаться его удалить. Сейчас ищем инструмент через москву. на потоке 
это никогда не ставили. хотелось бы услышать мнения, советы.
Гамиль Гарифуллов


-----------   -----------
Вложение не в текстовом формате было извлечено…
Имя     : IMG-20170529-WA0010.jpg
Тип     : image/jpeg
Размер  : 31957 байтов
Описание: отсутствует
Url     : http://weborto.net:8080/pipermail/ortho/attachments/20170529/e1cc998d/attachment-0003.jpg 
-----------   -----------
Вложение не в текстовом формате было извлечено…
Имя     : IMG-20170529-WA0011.jpg
Тип     : image/jpeg
Размер  : 31774 байтов
Описание: отсутствует
Url     : http://weborto.net:8080/pipermail/ortho/attachments/20170529/e1cc998d/attachment-0004.jpg 
-----------   -----------
Вложение не в текстовом формате было извлечено…
Имя     : IMG-20170529-WA0012.jpg
Тип     : image/jpeg
Размер  : 36477 байтов
Описание: отсутствует
Url     : http://weborto.net:8080/pipermail/ortho/attachments/20170529/e1cc998d/attachment-0005.jpg 


Ortho