[Ortho] переудлинение луча

Maxim Agalakov orthoforum на weborto.net
Вт Ноя 14 21:44:12 YEKT 2017


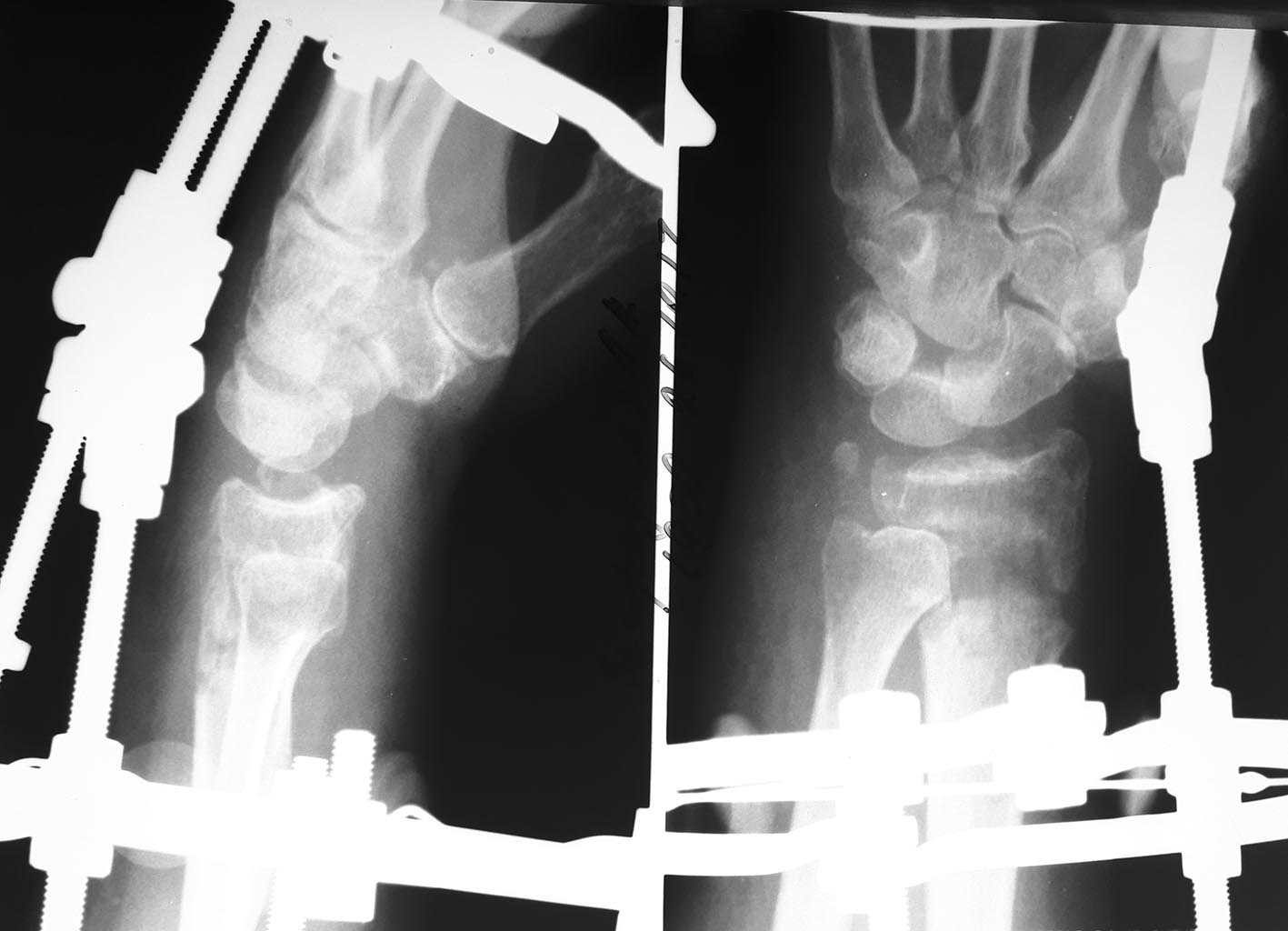
Пациентка 60 лет, 2 мес назад перелом дистального эпиметафиза лучевой 
кости, шиловидного отростка, Наложен АВФ. По разным причинам продолжила 
лечение у хирурга, который проводил дистракцию. Сожалею, первичные 
снимки предоставить не могу. Рентген при поступлении и после "сброса" 
дистракции. Сейчас думаем, что с этим делать,четкого плана пока нет, 
какие у вас мысли по этому поводу?
Maxim Agalakov


----------- следущая часть -----------
Вложение не в текстовом формате было извлечено…
Имя     : 20171113_185913.jpg
Тип     : image/jpeg
Размер  : 106438 байтов
Описание: отсутствует
Url     : http://weborto.net:8080/pipermail/ortho/attachments/20171114/8b35acf5/attachment-0001.jpg 
----------- следущая часть -----------
Вложение не в текстовом формате было извлечено…
Имя     : IMG-20171113-WA0000.jpeg
Тип     : image/jpeg
Размер  : 129030 байтов
Описание: отсутствует
Url     : http://weborto.net:8080/pipermail/ortho/attachments/20171114/8b35acf5/attachment-0001.jpeg 


Подробная информация о списке рассылки Ortho