[Ortho] у кого какие мнения по тактике диагностики и лечения боли в лучезапястном суставе?

вадим orthoforum на weborto.net
Ср Ноя 29 21:24:06 YEKT 2017


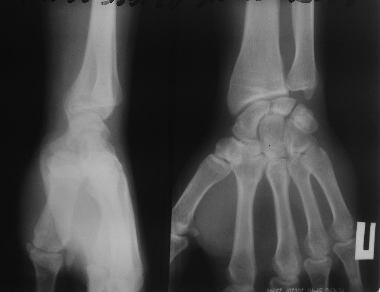
мужчина 32 лет беспокоят боли в правом лучезапястном суставе.

6 месяцев назад появились боли при движение в правом лучезапястном 
суставе при физических нагрузках( отжимания) постепенно боли усилились. 
Боль локализована в проекции шиловидного отростка локтевой кости, в 
покое боли нет. на данный момент движения резко ограничены.

Проходил два курса лечения ( НПВС , МАГНИТ, мази, сероводородные ванны) ни
какого эффекта, только ухудшение.

Я третий травматолог к которому он обратился. на свежем снимке похоже 
импрессия трехгранной кости?? Направлен на МРТ. Что может быть? Как 
лечить? блокаду гормоном не предлагать)
вадим

----------- следущая часть -----------
Вложение не в текстовом формате было извлечено…
Имя     : image.jpg
Тип     : image/jpeg
Размер  : 73292 байтов
Описание: отсутствует
Url     : http://weborto.net:8080/pipermail/ortho/attachments/20171129/61022e2b/attachment-0001.jpg 


Подробная информация о списке рассылки Ortho