[Ortho] Нужен совет - удалять ли из таза?

Михаил orthoforum на weborto.net
Чт Ноя 30 02:22:08 YEKT 2017


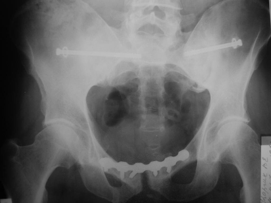
Доброго времени суток, уважаемые коллеги! Помогите советом.

Пациент 43 лет. Травма в ноябре прошлого года. Оперирован у нас в отделении.
Послеоперационный период гладкий. В настоящий момент пациента ничего не 
беспокоит, вернулся к прежней тяжелой работе (промывальщик цистерн). 
Категорически настаивает на удалении металла. Проблема в том, что 
оперируем таз мы достаточно часто, а вот удалять не приходилось. Вопрос: 
стоит удалять, и если стоит, то не рано ли? Спасибо всем
откликнувшимся.
Михаил


----------- следущая часть -----------
Вложение не в текстовом формате было извлечено…
Имя     : DSCN5864.jpg
Тип     : image/jpeg
Размер  : 63089 байтов
Описание: отсутствует
Url     : http://weborto.net:8080/pipermail/ortho/attachments/20171129/9a974cd4/attachment-0001.jpg 


Подробная информация о списке рассылки Ortho