[Ortho] Помогите определиться с тактикой. Hallux valgus и не только.

Шведовченко Игорь Владимирович orthoforum на weborto.net
Вт Окт 24 14:08:09 YEKST 2017


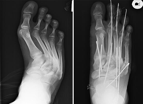
Полностью поддерживаю вопрос господина Бережного и в качестве 
иллюстрации предлагаю вот такое изображение.

Шведовченко Игорь Владимирович


----------- следущая часть -----------
Вложение не в текстовом формате было извлечено…
Имя     : 08.jpg
Тип     : image/jpeg
Размер  : 48345 байтов
Описание: отсутствует
Url     : http://weborto.net:8080/pipermail/ortho/attachments/20171024/9a433b50/attachment-0001.jpg 


Подробная информация о списке рассылки Ortho