[Ortho] Несращение бедра

Григорий Карапетян orthoforum на weborto.net
Сб Сен 2 16:56:11 YEKST 2017


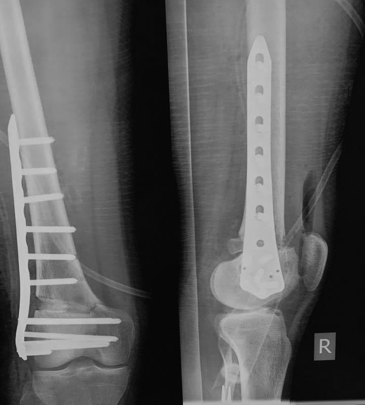
Зачастую после удаления Штифта мы ставим подобную пластину. А протез 
можно и после сращения поставить.

Григорий Карапетян

----------- следущая часть -----------
Вложение не в текстовом формате было извлечено…
Имя     : 1.jpg
Тип     : image/jpeg
Размер  : 59307 байтов
Описание: отсутствует
Url     : http://weborto.net:8080/pipermail/ortho/attachments/20170902/59d3988f/attachment-0001.jpg 


Подробная информация о списке рассылки Ortho