[Ortho] Несращение бедра

Alexander Chelnokov orthoforum на weborto.net
Сб Сен 2 20:11:14 YEKST 2017


Здесь вполне можно не вмешиваться открыто. Сделать fixator-assisted 
nailing. Все закрыто убрать. Хорошо восстановить ось. Через медуллярный 
канал ручными развертками освежить концы отломков. И заштифтовать. Раз 
уже был ретроградный стержень - то ретроградно. Я бы взял большеберцовый 
гвоздь, чтобы ввести винты в разных плоскостях. Ну и гвоздь потолще, и 
винты 6 мм.

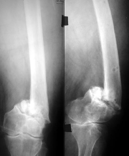
Вот давний пример похожего ложного сустава после неоднократных 
остеосинтезов.
Alexander Chelnokov


----------- следущая часть -----------
Вложение не в текстовом формате было извлечено…
Имя     : 1.jpg
Тип     : image/jpeg
Размер  : 23120 байтов
Описание: отсутствует
Url     : http://weborto.net:8080/pipermail/ortho/attachments/20170902/fc1777df/attachment-0005.jpg 
----------- следущая часть -----------
Вложение не в текстовом формате было извлечено…
Имя     : 2.jpg
Тип     : image/jpeg
Размер  : 29766 байтов
Описание: отсутствует
Url     : http://weborto.net:8080/pipermail/ortho/attachments/20170902/fc1777df/attachment-0006.jpg 
----------- следущая часть -----------
Вложение не в текстовом формате было извлечено…
Имя     : 3.jpg
Тип     : image/jpeg
Размер  : 23569 байтов
Описание: отсутствует
Url     : http://weborto.net:8080/pipermail/ortho/attachments/20170902/fc1777df/attachment-0007.jpg 
----------- следущая часть -----------
Вложение не в текстовом формате было извлечено…
Имя     : 4.jpg
Тип     : image/jpeg
Размер  : 47362 байтов
Описание: отсутствует
Url     : http://weborto.net:8080/pipermail/ortho/attachments/20170902/fc1777df/attachment-0008.jpg 
----------- следущая часть -----------
Вложение не в текстовом формате было извлечено…
Имя     : 5.jpg
Тип     : image/jpeg
Размер  : 65854 байтов
Описание: отсутствует
Url     : http://weborto.net:8080/pipermail/ortho/attachments/20170902/fc1777df/attachment-0009.jpg 


Подробная информация о списке рассылки Ortho