[Ortho] Травма стопы тяжелым предметом - нужен совет

Вадим orthoforum на weborto.net
Пн Сен 4 21:02:19 YEKST 2017


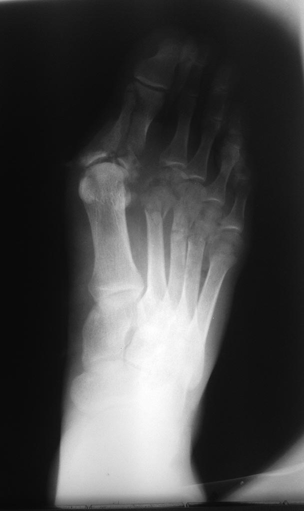
Здравствуйте ! Кто что сможет посоветовать ? Пациент 22 года упал 
тяжёлый предмет на стопу (2 тонны) . На стопе выраженный отек, ушиблено- 
рваная рана в области 1 плюсневой кости размером около 8см, сообщающаяся 
с 1 плюсне фалагговым суставом. В голову лезут два варианта
лечения 1 . Наложение аппарата илизарова ( было бы неплохо, если бы кто- 
нибудь отправил варианты компоновки ) 2 открытая репозиция основной 
фаланги 1 пальца, а плюсневые консервативно.

Вадим


----------- следущая часть -----------
Вложение не в текстовом формате было извлечено…
Имя     : image.jpg
Тип     : image/jpeg
Размер  : 42498 байтов
Описание: отсутствует
Url     : http://weborto.net:8080/pipermail/ortho/attachments/20170904/7cf0f84d/attachment-0001.jpg 


Подробная информация о списке рассылки Ortho