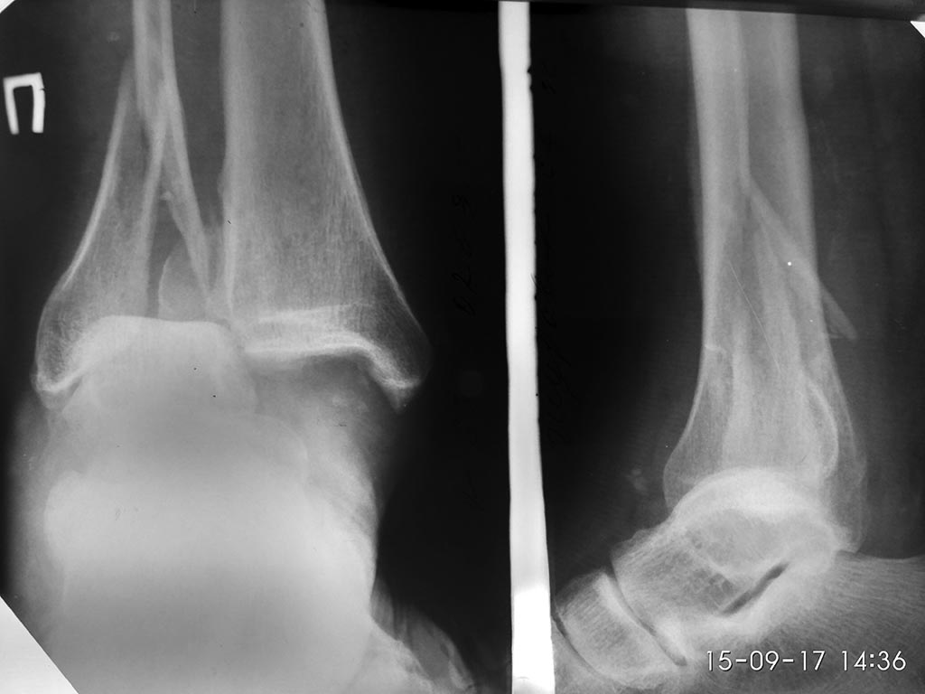
[Ortho] Осложненный перелом лодыжек - подскажите тактику

Rt orthoforum на weborto.net
Вс Сен 24 20:33:48 YEKST 2017


Артерии проходимы ,глубокие вены  - тромбоз ,возвратный кровоток за счет 
поверхностных, эластичная компрессия противопоказана.
Rt

----------- следущая часть -----------
Вложение не в текстовом формате было извлечено…
Имя     : IMG_20170915_143700_HDR.jpg
Тип     : image/jpeg
Размер  : 69328 байтов
Описание: отсутствует
Url     : http://weborto.net:8080/pipermail/ortho/attachments/20170924/b2ada304/attachment-0001.jpg 


Подробная информация о списке рассылки Ortho