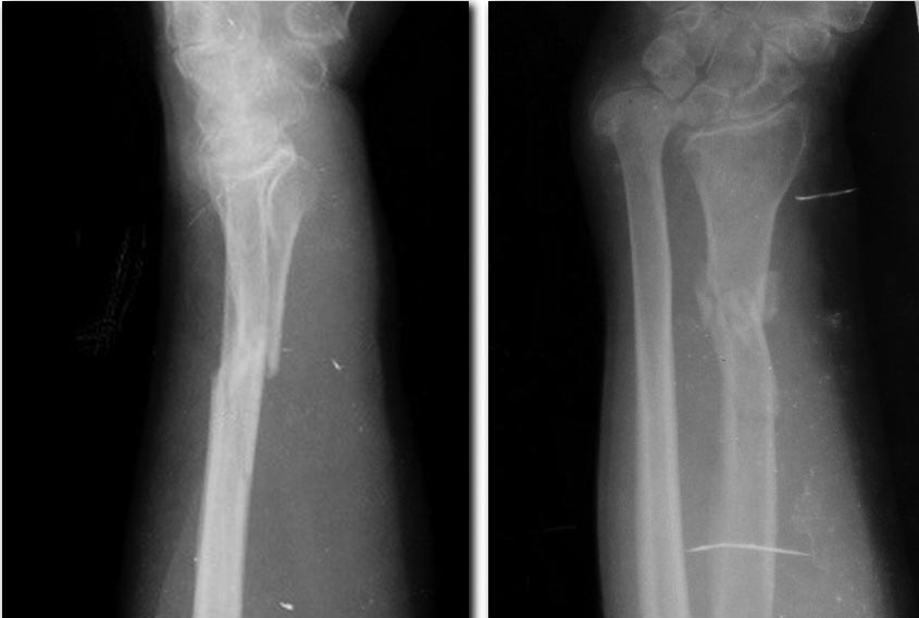
[Ortho] Приобретенная косорукость

Андрей orthoforum на weborto.net
Вт Сен 26 23:44:51 YEKST 2017


Рентгенограммы
Андрей

----------- следущая часть -----------
Вложение не в текстовом формате было извлечено…
Имя     : 12.jpg
Тип     : image/jpeg
Размер  : 48223 байтов
Описание: отсутствует
Url     : http://weborto.net:8080/pipermail/ortho/attachments/20170926/26305957/attachment-0001.jpg 


Подробная информация о списке рассылки Ortho