[Ortho] radius+ulna

Djoldas Kuldjanov orthoforum weborto.net
2 00:32:05 YEKST 2018


Уважемые коллеги,

В последние дни на странице Форума чувствуется небольшое оживление, и 
клинические разборы чаще стали появляться на сайте. Я приветствую 
разборы на профессиональном сайте, где рассылка идет среди врачей, а не 
в среде, где реагируют на имя подписчика, и где доминируют члены семьи и 
друзья.  Кроме того, имеется этические аспекты при разборе, например, 
выкладка клинических картин, показ“монструозных инструментов”, и 
неподготовленная аудитория не поймет профессиональный резкий разговор, и 
вместе гордости могут возникнуть разочарования близких. Лучше поддержать 
дискуссию на сайте Форума, чем переход в Facebook.

Теперь по поводу“повреждение проксимальных отделов radius+ulna”.

Для продолжения дискуссии необходимо поддержать обратную связь, надо 
выложить дополнительную информацию: анамнез, возраст, профессию, 
доминантная ли рука, изолированность травмы, давность и причину задержку 
лечения.

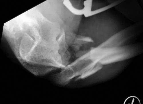
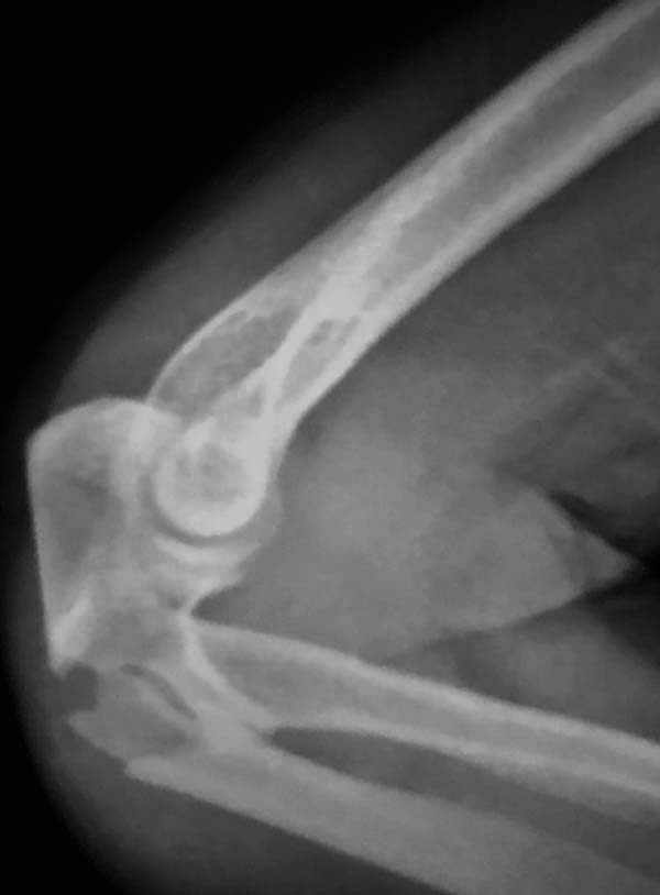
А так, здесь имеется многофрагментарный проксимальный перелом локтевого 
отростка с переломо-вывихом головки лучевой кости по классификации Mason 
III. Решение принимается на основании КТ срезов, потому что на боковом 
рентген снимке вроде отсутствует смещение, где сустав и контур Coronoid 
в одном блоке, а на прямом подозрение на смещение в Coronoid?

Для перелома локтевого отростка придуманы много пластин, надо выбрать по 
длине. А при краевых переломах головки ее окружность можно восстановить 
винтами 2 мм, но в данном случае имеется полный вывих головки и 
фиксация, даже специальной пластиной, может осложнится. Протез головки 
после удаления предупреждает нестабильность в суставе и деформацию оси 
конечности в будущем!

Конверсионные спицы на уровне проксимального отдела лучевой кости 
интересная идея, но на уровне перелома в области шейки трудно удержать 
головку. Предварительная репозиция локтевого отростка с временной 
установкой пластины, затем удаление экономит время. Доступ через 
локтевой отросток, где можно фиксировать или удалить головку с 
замещением, а потом установить пластину обратно на локтевой отросток!


Djoldas Kuldjanov, MD
Professor Dept. of Orthopaedic Surgery
Saint Louis University
Chief of Ortho Trauma, Mercy Hospital

-----------   -----------
Вложение не в текстовом формате было извлечено…
Имя     : 1 elbow injury.jpg
Тип     : image/jpeg
Размер  : 24366 байтов
Описание: отсутствует
Url     : http://weborto.net:8080/pipermail/ortho/attachments/20180401/a0c9d0b9/attachment-0006.jpg 
-----------   -----------
Вложение не в текстовом формате было извлечено…
Имя     : 2 elbow injury.jpg
Тип     : image/jpeg
Размер  : 30552 байтов
Описание: отсутствует
Url     : http://weborto.net:8080/pipermail/ortho/attachments/20180401/a0c9d0b9/attachment-0007.jpg 
-----------   -----------
Вложение не в текстовом формате было извлечено…
Имя     : 3 elbow.jpg
Тип     : image/jpeg
Размер  : 31547 байтов
Описание: отсутствует
Url     : http://weborto.net:8080/pipermail/ortho/attachments/20180401/a0c9d0b9/attachment-0008.jpg 
-----------   -----------
Вложение не в текстовом формате было извлечено…
Имя     : 7 elbow.jpg
Тип     : image/jpeg
Размер  : 36866 байтов
Описание: отсутствует
Url     : http://weborto.net:8080/pipermail/ortho/attachments/20180401/a0c9d0b9/attachment-0009.jpg 
-----------   -----------
Вложение не в текстовом формате было извлечено…
Имя     : 8 0 elbow postop.jpg
Тип     : image/jpeg
Размер  : 42454 байтов
Описание: отсутствует
Url     : http://weborto.net:8080/pipermail/ortho/attachments/20180401/a0c9d0b9/attachment-0010.jpg 
-----------   -----------
Вложение не в текстовом формате было извлечено…
Имя     : 8 elbow postop.jpg
Тип     : image/jpeg
Размер  : 45427 байтов
Описание: отсутствует
Url     : http://weborto.net:8080/pipermail/ortho/attachments/20180401/a0c9d0b9/attachment-0011.jpg 


Ortho