[Ortho] Polytrauma

Djoldas Kuldjanov orthoforum weborto.net
13 03:22:37 YEKST 2018


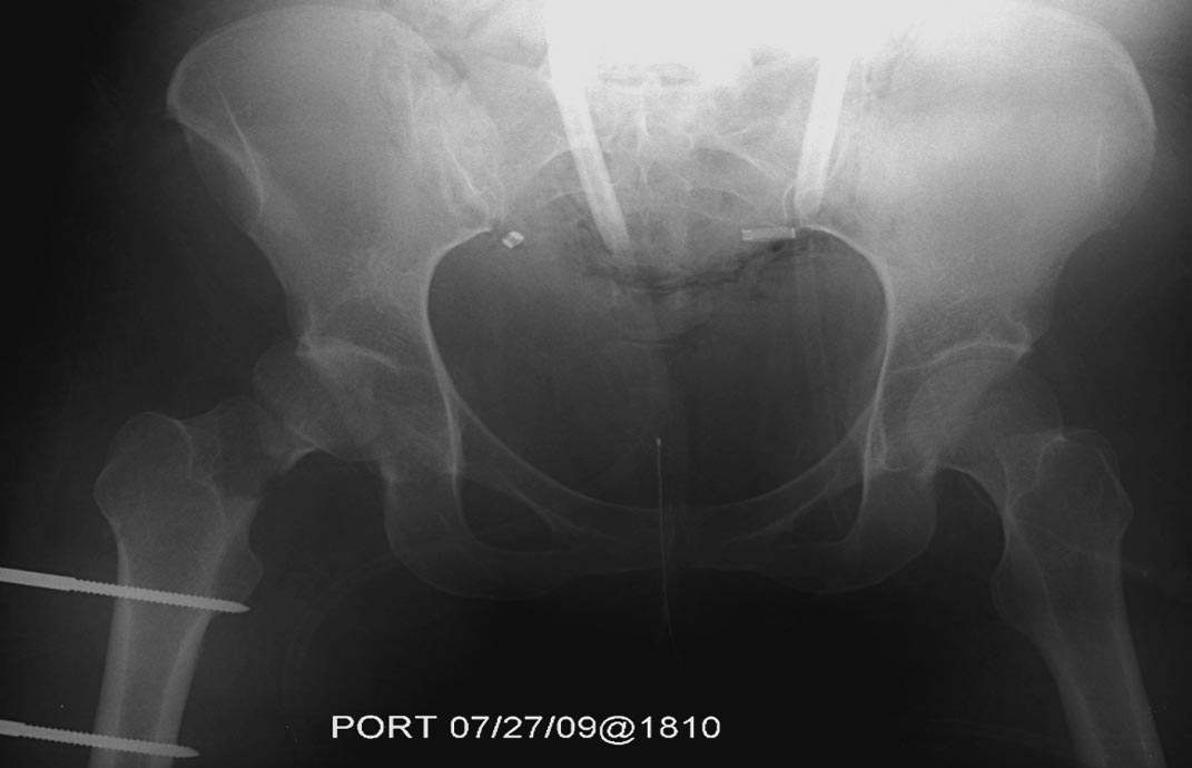
1.Вправление вывиха бедра, репозиция, остеосинтез перелома шейки бедра

2.Репозиция перелома таранной кости

3.После компенсации состояния внутренний остеосинтез диафиза и 
дистального метафиза правого бедра.


Во всех руководствах по политравмам рекомендуется подобный алгоритм, 
т.е. вправление вывиха и стабилизация длинных костей. В наших Травма 
центрах решение об ургентности операции  принимает не Ортопед 
Травматолог, а ответственный Травма хирург!

В нашем случае с момента травмы прошло около 2 суток, и переломо-вывих 
бедра остается не вправленный. По нашим данным, риск осложнений при 
запоздалой репозиции остается высоким, и McKee 1998 также подтверждает, 
что репозиция вывиха бедра после 6 часов приводит к осложнению 
аваскулярным некрозом более чем 10%, а после 15.3 часов около 26%.

Кроме того, больная нестабильная и без сознания, INR (International 
Normalized Ratio) высокий и другие лабараторные данные показывают, что 
для для фиксации ортопедических повреждений отпускают мало времени.

Во время совместной операции с хирургами по I&D  вакумированием раны 
живота и ран конечности, смогли быстро наложить наружный фиксатор на бедро.


​Djoldas Kuldjanov, M.D.
Professor Dept. of Orthopedic Surgery
Saint Louis University
Chief of Ortho Trauma St. Louis University Hospital



-----------   -----------
Вложение не в текстовом формате было извлечено…
Имя     : Picture10.jpg
Тип     : image/jpeg
Размер  : 53733 байтов
Описание: отсутствует
Url     : http://weborto.net:8080/pipermail/ortho/attachments/20180413/92952253/attachment-0004.jpg 
-----------   -----------
Вложение не в текстовом формате было извлечено…
Имя     : Picture11.jpg
Тип     : image/jpeg
Размер  : 48062 байтов
Описание: отсутствует
Url     : http://weborto.net:8080/pipermail/ortho/attachments/20180413/92952253/attachment-0005.jpg 
-----------   -----------
Вложение не в текстовом формате было извлечено…
Имя     : Picture12.jpg
Тип     : image/jpeg
Размер  : 53848 байтов
Описание: отсутствует
Url     : http://weborto.net:8080/pipermail/ortho/attachments/20180413/92952253/attachment-0006.jpg 
-----------   -----------
Вложение не в текстовом формате было извлечено…
Имя     : Picture14.jpg
Тип     : image/jpeg
Размер  : 51670 байтов
Описание: отсутствует
Url     : http://weborto.net:8080/pipermail/ortho/attachments/20180413/92952253/attachment-0007.jpg 


Ortho