[Ortho] Polytrauma

Djoldas Kuldjanov orthoforum на weborto.net
Вт Апр 17 00:31:48 YEKST 2018


Курс реанимации продолжается, вливания кристаллоидов и эритроцитарной 
массы стали действовать положительно. Остается под интубацией, но стал 
отвечать на команду!

С интервалом 2 и 3 день Irrigation and Debridement со сменой вакуума.

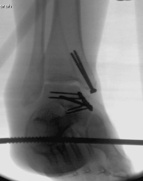
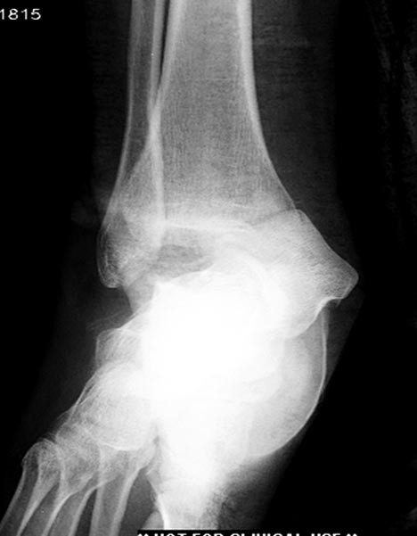
6 день госпитализации-операция на таранной кости.

7 день госпитализации-Трахеотомия и Percutaneous endoscopic gastrostomy 
(PEG)


Результат раневого посева отрицательный на инфекцию. Остается 
фиксировать остальные повреждения: проксимальное бедро, открытые 
переломы бедра, плеча. Какие предложения?


Djoldas Kuldjanov

----------- следущая часть -----------
Вложение не в текстовом формате было извлечено…
Имя     : Picture15.jpg
Тип     : image/jpeg
Размер  : 37494 байтов
Описание: отсутствует
Url     : http://weborto.net:8080/pipermail/ortho/attachments/20180416/07265245/attachment-0002.jpg 
----------- следущая часть -----------
Вложение не в текстовом формате было извлечено…
Имя     : Picture16.jpg
Тип     : image/jpeg
Размер  : 35001 байтов
Описание: отсутствует
Url     : http://weborto.net:8080/pipermail/ortho/attachments/20180416/07265245/attachment-0003.jpg 


Подробная информация о списке рассылки Ortho